首页
创新研发
产品中心
病理IHC整体解决方案
IVD一抗
LYNX310设备
LYNX480设备
免疫显色系统及辅助试剂
RUO试剂
液态细胞质控品
科研创新
科研目录抗体
技术服务
服务中心
资料下载
技术支持
关于我们
公司概况
新闻动态
荣誉资质
人才服务
联系我们
简体中文
简体中文
English
产品中心
病理IHC整体解决方案
科研创新
IVD一抗
LYNX310设备
LYNX480设备
免疫显色系统及辅助试剂
RUO试剂
液态细胞质控品
一抗
配套试剂
按字母查找
ALL
A
B
C
D
E
F
G
H
I
J
K
L
M
N
O
P
Q
R
S
T
U
V
W
X
Y
Z
列表
图片
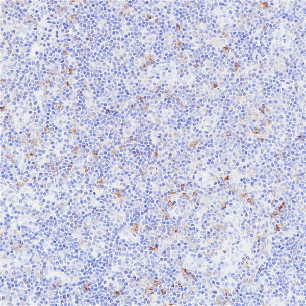
TdT
BP6089
TFE3
BP6180
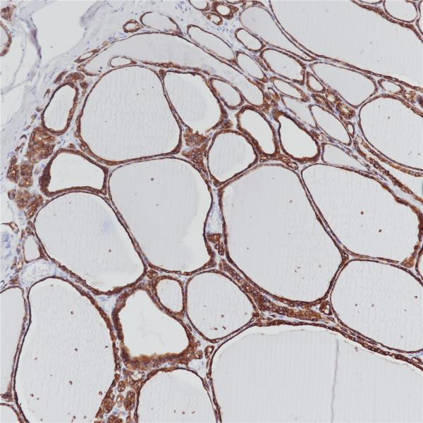
Thyroglobulin
BP6067
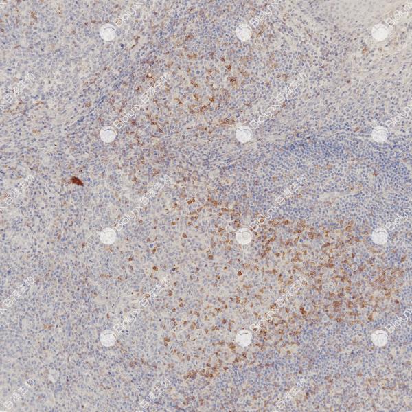
TIA-1
BP6295
TIGIT
BP6272
Tim-3
BP6182
TLE1
BP6223
TMPRSS4
BP6327
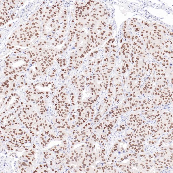
Topoisomerase II-α
BP6016
TPO
BP6071
TPO
BPM6183
TROP-2
BP6208
<
1
2
>
返回 顶部
Contact Us
Address
浙江省杭州市滨江区滨安路688号天和高科技园区5号楼1303室
310052
Phone & Fax
+400-8769-741
+0571-88177680
Web & Mail
[email protected]
Follow Us
Scan QR Codes on Your Phone