产品中心

TPO 鼠单克隆抗体

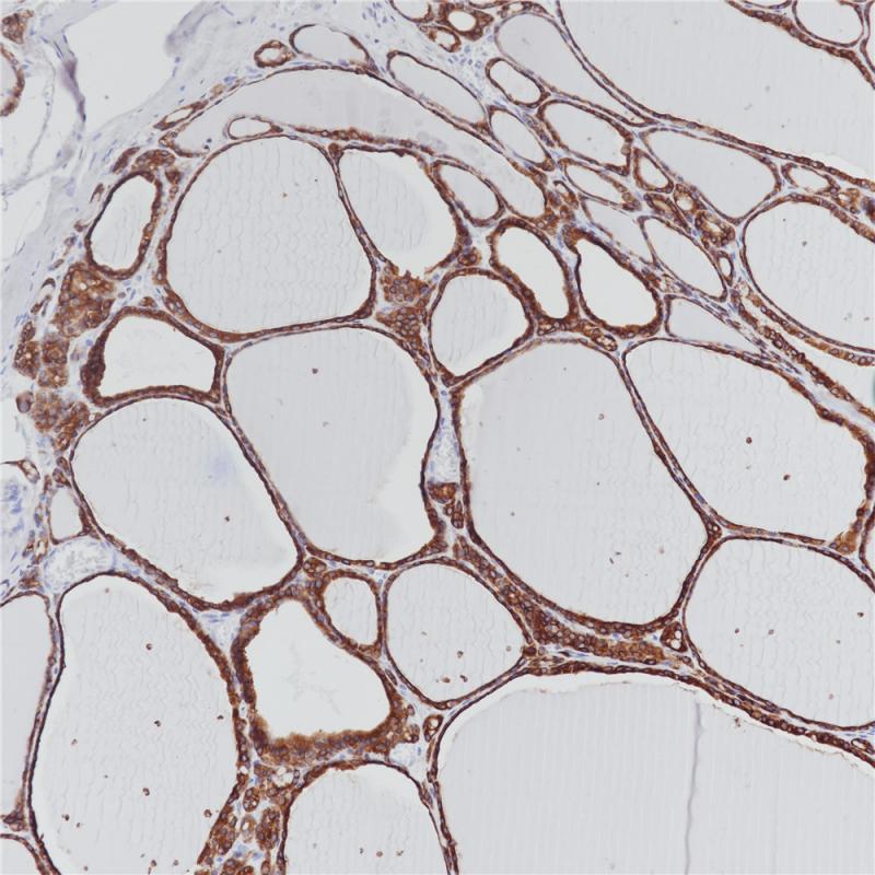
TPO(甲状腺过氧化物酶)在甲状腺细胞的顶端表达,是一种与甲状腺激素合成相关的酶。TPO可以在正常甲状腺、甲状腺滤泡以及树突状癌中表达,通常作为甲状腺肿瘤良恶性的鉴别手段。

Specifications

目录号
BX50206
克隆号
BPM6183
阳性对照
甲状腺
亚细胞定位
细胞质
组织类型
FFPE
修复方式
HIER
稀释比
1:100-1:200
规格
100μl/vial, 1ml/vial
用途
RUO

Reference

1.Savin S, et al. Hum Pathol. 2008; 39:1656-63.   
2.Yousaf U, et al. Clin Endocrinol (Oxf). 2005; 68:996-1001.
 

 

Support Documents

Contact Us

Address
浙江省杭州市滨江区滨安路688号天和高科技园区5号楼1303室
310052
Phone & Fax
+400-8769-741
+0571-88177680
Web & Mail

Follow Us

Scan QR Codes on Your Phone