首页
创新研发
产品中心
病理IHC整体解决方案
IVD一抗
LYNX310设备
LYNX480设备
免疫显色系统及辅助试剂
RUO试剂
液态细胞质控品
科研创新
科研目录抗体
技术服务
服务中心
资料下载
技术支持
关于我们
公司概况
新闻动态
荣誉资质
人才服务
联系我们
简体中文
简体中文
English
产品中心
病理IHC整体解决方案
科研创新
IVD一抗
LYNX310设备
LYNX480设备
免疫显色系统及辅助试剂
RUO试剂
液态细胞质控品
肺鳞癌TROP-2(BP6208)染色
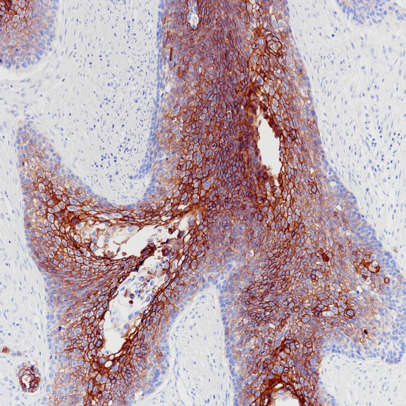
食管癌TROP-2(BP6208)染色
相关产品
Tyrosine Hydroxylase
BP6312
HBSAg
BP6224
PLAP
BPM6151
TROP-2
重组兔单克隆抗体
TROP-2或肿瘤相关钙信号转导器2,也称为上皮糖蛋白-1抗原(EGP-1),是一种由TACSTD2基因编码的蛋白。这一跨膜糖蛋白在多种细胞信号通路中发挥作用,并首次被证实为细胞内钙信号的转化器。TROP-2在多种上皮组织和TROP2来源的肿瘤组织中表达,如扁桃体、食道、胰腺、前列腺和胃癌。另外,它也在阴性乳腺癌、非小细胞肺癌、尿路上皮癌和各种类型的实体瘤中均有高表达。TROP-2已成为研究人员开发抗体偶联药物的新靶点。
Specifications
目录号
BX50231
克隆号
BP6208
阳性对照
肺鳞癌
亚细胞定位
细胞膜
组织类型
FFPE
修复方式
HIER
稀释比
1:100-1:200
规格
100μl/vial, 1ml/vial
用途
RUO
Support Documents
Datesheet
Contact Us
Address
浙江省杭州市滨江区滨安路688号天和高科技园区5号楼1303室
310052
Phone & Fax
+400-8769-741
+0571-88177680
Web & Mail
[email protected]
Follow Us
Scan QR Codes on Your Phone