首页
创新研发
产品中心
病理IHC整体解决方案
IVD一抗
LYNX310设备
LYNX480设备
免疫显色系统及辅助试剂
RUO试剂
液态细胞质控品
科研创新
科研目录抗体
技术服务
服务中心
资料下载
技术支持
关于我们
公司概况
新闻动态
荣誉资质
人才服务
联系我们
简体中文
简体中文
English
产品中心
病理IHC整体解决方案
科研创新
IVD一抗
LYNX310设备
LYNX480设备
免疫显色系统及辅助试剂
RUO试剂
液态细胞质控品
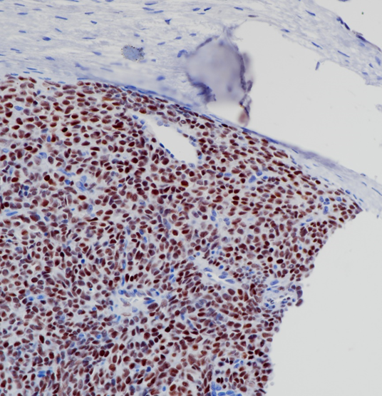
滑膜肉瘤TLE1(BP6223)染色
相关产品
CD163
BP6063
SALL4
BP6204
N-Cadherin
BP6095
TLE1
重组兔单克隆抗体
TLE 1与许多转录因子结合。它可以抑制NF-kappa-B调控的基因表达,也可以抑制FOXA 2、Wnt信号中CTNNB 1和TCF家族成员介导的转录激活。它增强FOXG1/BF-1-和HES 1介导的转录抑制。TLE 1在正常和癌症组织中广泛表达。TLE1通常用于滑膜肉瘤的诊断。
Specifications
目录号
BX50246
克隆号
BP6223
阳性对照
滑膜肉瘤
亚细胞定位
细胞核
组织类型
FFPE
修复方式
HIER
稀释比
1:100-1:200
规格
100μl/vial, 1ml/vial
用途
RUO
Support Documents
Datesheet
Contact Us
Address
浙江省杭州市滨江区滨安路688号天和高科技园区5号楼1303室
310052
Phone & Fax
+400-8769-741
+0571-88177680
Web & Mail
[email protected]
Follow Us
Scan QR Codes on Your Phone