产品中心

Topoisomerase II-α 重组兔单克隆抗体

Thyroglobulin(TG)是一种在甲状腺特异性表达的二聚体糖蛋白,属于B型羧酸酯酶家族。它是甲状腺激素T3与T4的前体。TG的变化通常与3型自身免疫性甲状腺疾病相关。TG合成缺陷通常会导致先天性甲状腺功能低下。甲状腺中TG的缺失和碘清蛋白浓度的上升,最终导致T3和T4的合成障碍。甲状腺球蛋白在正常甲状腺组织以及分化的甲状腺癌细胞中表达。这个指标常用来鉴别甲状腺来源的肿瘤。

Specifications

目录号
BX50011
克隆号
BP6016
阳性对照
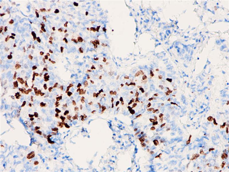
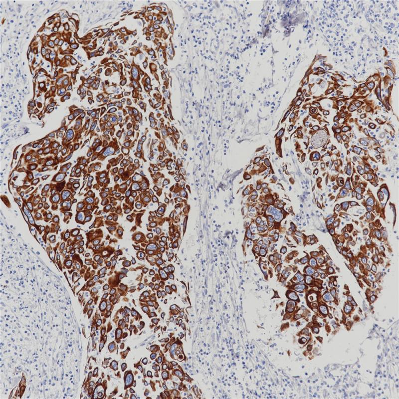
宫颈癌
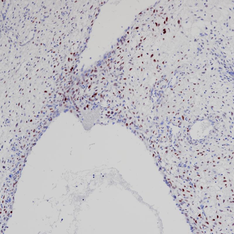
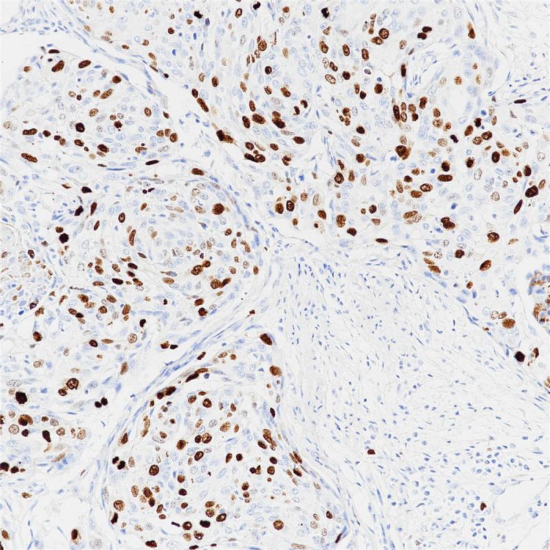
亚细胞定位
细胞核
组织类型
FFPE
修复方式
HIER
稀释比
1:100-1:200
规格
100μl/vial, 1ml/vial
用途
RUO

Reference

1.Lynch BJ, et al, Hum Pathol. 1997 Oct;28(10):1180-8
2.Gupta D, et al, Appl Immunohistochem Mol Morphol. 2001 Sep;9(3):215-21.

Support Documents

Contact Us

Address
浙江省杭州市滨江区滨安路688号天和高科技园区5号楼1303室
310052
Phone & Fax
+400-8769-741
+0571-88177680
Web & Mail

Follow Us

Scan QR Codes on Your Phone