首页
创新研发
产品中心
病理IHC整体解决方案
IVD一抗
LYNX310设备
LYNX480设备
免疫显色系统及辅助试剂
RUO试剂
液态细胞质控品
科研创新
科研目录抗体
技术服务
服务中心
资料下载
技术支持
关于我们
公司概况
新闻动态
荣誉资质
人才服务
联系我们
简体中文
简体中文
English
产品中心
病理IHC整体解决方案
科研创新
IVD一抗
LYNX310设备
LYNX480设备
免疫显色系统及辅助试剂
RUO试剂
液态细胞质控品
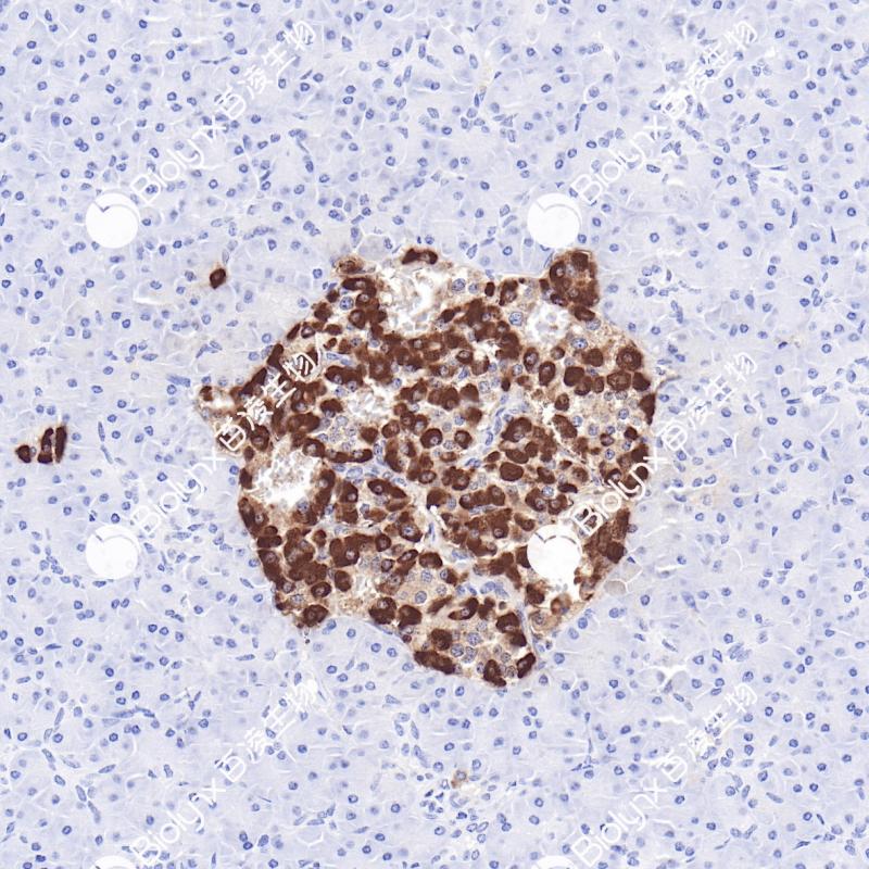
胰腺Glucagon(BP6265)染色
相关产品
Thyroglobulin
BP6067
Calreticulin
BP6279
Brachyury
BP6218
Glucagon
重组兔单克隆抗体
胰高血糖素在葡萄糖代谢和体内平衡中起着关键作用。胰高血糖素通过增加糖异生和减少糖酵解来调节血糖。胰高血糖素是胰岛素的一种反调节激素,在胰岛素诱导的低血糖状态下升高血糖水平。它在糖尿病的启动和维持高血糖状态中起着重要作用。胰高血糖素在胰岛的A细胞和整个胃肠道的L细胞中分泌。胰高血糖素检测胰高血糖素分泌细胞和肿瘤,如胰高血糖素肿瘤。
Specifications
目录号
BX50288
克隆号
BP6265
阳性对照
胰腺
亚细胞定位
细胞质
组织类型
FFPE
修复方式
HIER
稀释比
1:100-1:200
规格
100μl/vial, 1ml/vial
用途
RUO
Support Documents
Datesheet
Contact Us
Address
浙江省杭州市滨江区滨安路688号天和高科技园区5号楼1303室
310052
Phone & Fax
+400-8769-741
+0571-88177680
Web & Mail
[email protected]
Follow Us
Scan QR Codes on Your Phone