产品中心

CD35 重组兔单克隆抗体

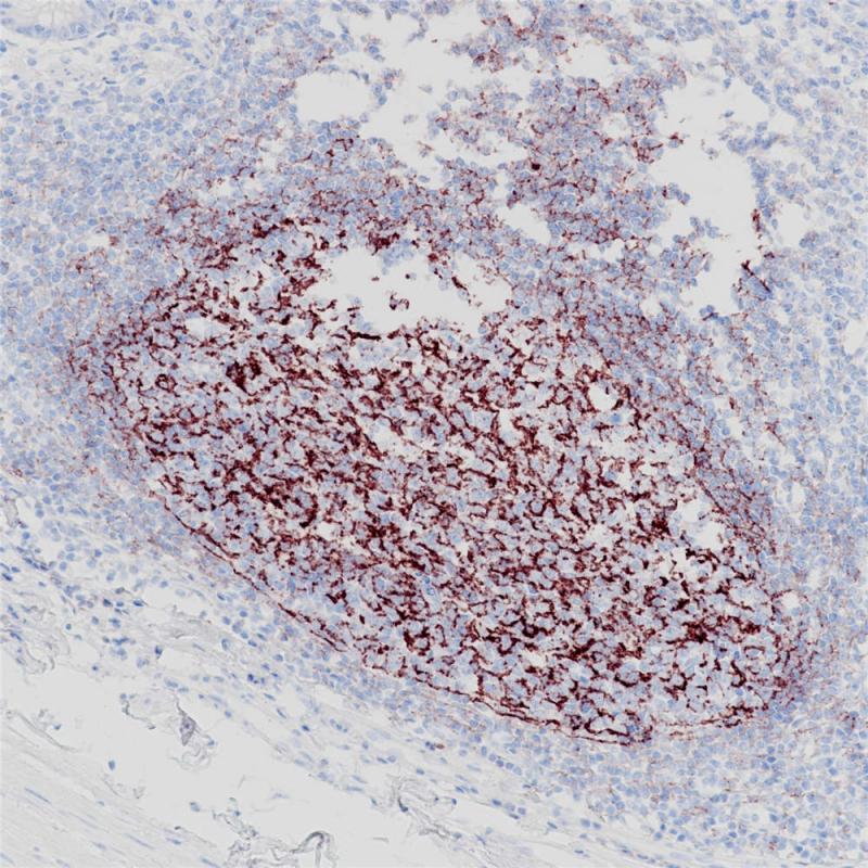
CD35又称补体受体1,是一种与膜结合的单体糖蛋白,在多种细胞表面表达,例如红细胞、白细胞、肾小球足细胞、滤泡树突网状细胞。CD35最主要的功能就是作为补体C3b和C4b的受体,起到对外来抗原的清除作用。CD35抗原存在于红细胞、B细胞、T细胞、单核细胞、嗜酸性细胞、中性粒细胞上。CD35抗体被认为是成熟B细胞的标志,可以标记滤泡树突细胞以及来源于此类细胞的肿瘤,如滤泡树突状细胞肿瘤/肉瘤。

Specifications

目录号
BX50064
克隆号
BP6069
阳性对照
扁桃体
亚细胞定位
细胞膜
组织类型
FFPE
修复方式
HIER
稀释比
1:100-1:200
规格
100μl/vial, 1ml/vial
用途
RUO

Reference

1.Biddle DA et al. Mod Pathol. 2002 Jan;15(1):50-8.
2.Dogan A et al. Am J Surg Pathol. 2003 Jul;27(7):903-11.

Support Documents

Contact Us

Address
浙江省杭州市滨江区滨安路688号天和高科技园区5号楼1303室
310052
Phone & Fax
+400-8769-741
+0571-88177680
Web & Mail

Follow Us

Scan QR Codes on Your Phone