首页
创新研发
产品中心
病理IHC整体解决方案
IVD一抗
LYNX310设备
LYNX480设备
免疫显色系统及辅助试剂
RUO试剂
液态细胞质控品
科研创新
科研目录抗体
技术服务
服务中心
资料下载
技术支持
关于我们
公司概况
新闻动态
荣誉资质
人才服务
联系我们
简体中文
简体中文
English
产品中心
病理IHC整体解决方案
科研创新
IVD一抗
LYNX310设备
LYNX480设备
免疫显色系统及辅助试剂
RUO试剂
液态细胞质控品
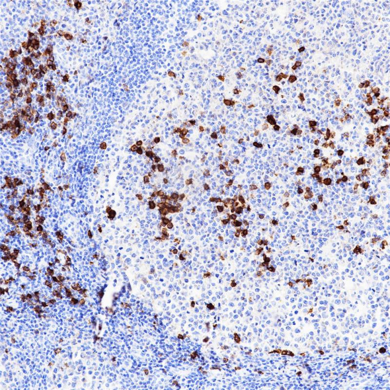
扁桃体c-Myc(BP6195)染色
相关产品
Cytokeratin 8&18
BP6005/BP6054
DOG1
BP6032
MUM1
BP6094
c-Myc
重组兔单克隆抗体
癌基因编码蛋白c-Myc、n-Myc和l-Myc在细胞增殖、分化和肿瘤疾病中的作用在许多癌症中发现Myc的突变版本,这导致Myc的构成型表达。这导致许多基因的不受控制的表达,其中一些与细胞增殖有关,并导致癌症的形成。c-Myc是一种转录因子和原癌基因,是细胞周期调控、代谢、凋亡、分化、细胞粘附和肿瘤发生的焦点。涉及Myc的常见人类易位是t(8;14),它对大多数伯基特淋巴瘤的发展至关重要。Myc的功能障碍也在宫颈癌、结肠癌、乳腺癌、肺癌和胃癌中被发现。
Specifications
目录号
BX50218
克隆号
BP6195
阳性对照
淋巴瘤
亚细胞定位
细胞核
组织类型
FFPE
修复方式
HIER
稀释比
1:100-1:200
规格
100μl/vial, 1ml/vial
用途
RUO
Support Documents
Datesheet
Contact Us
Address
浙江省杭州市滨江区滨安路688号天和高科技园区5号楼1303室
310052
Phone & Fax
+400-8769-741
+0571-88177680
Web & Mail
[email protected]
Follow Us
Scan QR Codes on Your Phone