产品中心

CD163 重组兔单克隆抗体

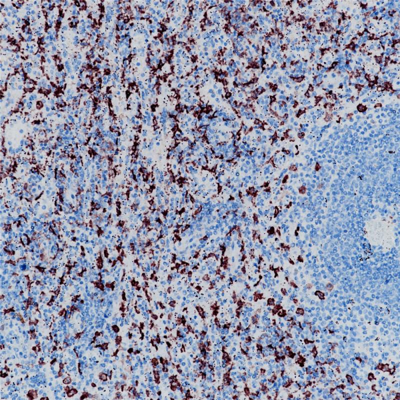
CD163是I型膜蛋白,属于清道夫受体超家族的成员。CD163是目前最特异的组织细胞标记物,在外周循环的单核细胞以及大部分组织的巨噬细胞中表达,如脾脏树突细胞,肺泡巨噬细胞,肝脏Kupffer细胞。而在一些淋巴滤泡中央的幼稚细胞,套外区域的巨噬细胞、朗格汉斯细胞以及指突状网织细胞中则不表达CD163。肿瘤组织中,CD163在绝大多数AML中的单核样细胞中表达,同时在大部分组织肉瘤、纤维肉瘤、窦岸细胞血管瘤、淋巴结肿大疾病、朗格汉斯细胞增多症、典型和非典型纤维肉瘤以及一些皮肤纤维肉瘤中也有表达。

Specifications

目录号
BX50058
克隆号
BP6063
阳性对照
亚细胞定位
细胞膜
组织类型
FFPE
修复方式
HIER
稀释比
1:100-1:200
规格
100μl/vial, 1ml/vial
用途
RUO

Reference

1.Garcia C, et al. Appl Immunohistochem Mol Morphol 2008, 16(5), 417-21.
2.Nguyen TT, et al. Am J Surg Pathol 2005, 29(5), 617-24.

Support Documents

Contact Us

Address
浙江省杭州市滨江区滨安路688号天和高科技园区5号楼1303室
310052
Phone & Fax
+400-8769-741
+0571-88177680
Web & Mail

Follow Us

Scan QR Codes on Your Phone