首页
创新研发
产品中心
病理IHC整体解决方案
IVD一抗
LYNX310设备
LYNX480设备
免疫显色系统及辅助试剂
RUO试剂
液态细胞质控品
科研创新
科研目录抗体
技术服务
服务中心
资料下载
技术支持
关于我们
公司概况
新闻动态
荣誉资质
人才服务
联系我们
简体中文
简体中文
English
产品中心
病理IHC整体解决方案
科研创新
IVD一抗
LYNX310设备
LYNX480设备
免疫显色系统及辅助试剂
RUO试剂
液态细胞质控品
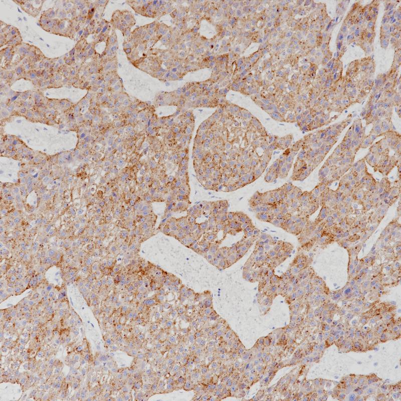
甲状腺Procalcitonin(BP6237)染色
相关产品
CD3
BP6039
CD70
BP6300
Progesterone Receptor
BP6081
Procalcitonin
重组兔单克隆抗体
降钙素原(PCT)是降钙素(CT)的前体肽,是一种116个氨基酸残基肽,分子量约为13 kDa。在正常的代谢条件下,PCT只存在于甲状腺的C细胞中。而在细菌感染和败血症中,血液中可以发现完整的PCT,更重要的是PCT的水平与细菌败血症的严重程度有关。目前,PCT被认为是败血症最早和最特异的标志物之一。
Specifications
目录号
BX50260
克隆号
BP6237
阳性对照
甲状腺
亚细胞定位
细胞质
组织类型
FFPE
修复方式
HIER
稀释比
1:100-1:200
规格
100μl/vial, 1ml/vial
用途
RUO
Support Documents
Datesheet
Contact Us
Address
浙江省杭州市滨江区滨安路688号天和高科技园区5号楼1303室
310052
Phone & Fax
+400-8769-741
+0571-88177680
Web & Mail
[email protected]
Follow Us
Scan QR Codes on Your Phone