首页
创新研发
产品中心
病理IHC整体解决方案
IVD一抗
LYNX310设备
LYNX480设备
免疫显色系统及辅助试剂
RUO试剂
液态细胞质控品
科研创新
科研目录抗体
技术服务
服务中心
资料下载
技术支持
关于我们
公司概况
新闻动态
荣誉资质
人才服务
联系我们
简体中文
简体中文
English
产品中心
病理IHC整体解决方案
科研创新
IVD一抗
LYNX310设备
LYNX480设备
免疫显色系统及辅助试剂
RUO试剂
液态细胞质控品
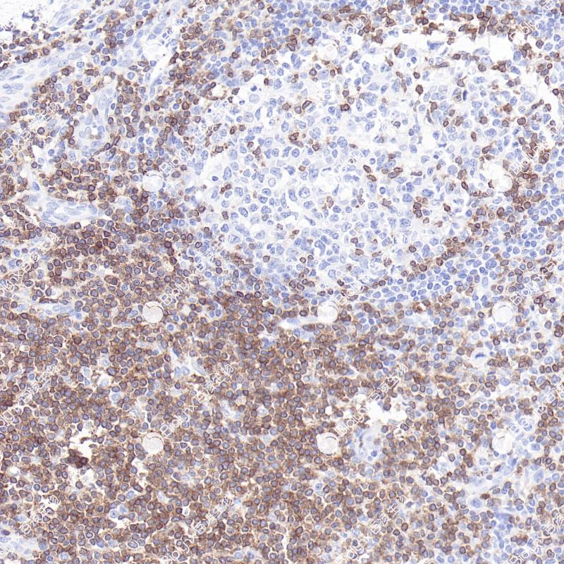
扁桃体CD3D(BP6277)染色
相关产品
Cytokeratin 1
BP6077
Helicobacter pylori
BP6321
HER2
BP6020
CD3D
重组兔单克隆抗体
CD3是由4个不同亚基组成的细胞表面复合体,这些亚基是与T细胞抗原受体(TCR)相关的完整膜糖蛋白链,是TCR细胞表面表达和信号转导所必需的。CD3D在胸腺细胞分化中起着重要作用。CD3D通常在T细胞及其来源的肿瘤细胞中表达。
Specifications
目录号
BX50300
克隆号
BP6277
阳性对照
扁桃体
亚细胞定位
细胞膜
组织类型
FFPE
修复方式
HIER
稀释比
1:100-1:200
规格
100μl/vial, 1ml/vial
用途
RUO
Support Documents
Datesheet
Contact Us
Address
浙江省杭州市滨江区滨安路688号天和高科技园区5号楼1303室
310052
Phone & Fax
+400-8769-741
+0571-88177680
Web & Mail
[email protected]
Follow Us
Scan QR Codes on Your Phone