首页
创新研发
产品中心
病理IHC整体解决方案
IVD一抗
LYNX310设备
LYNX480设备
免疫显色系统及辅助试剂
RUO试剂
液态细胞质控品
科研创新
科研目录抗体
技术服务
服务中心
资料下载
技术支持
关于我们
公司概况
新闻动态
荣誉资质
人才服务
联系我们
简体中文
简体中文
English
产品中心
病理IHC整体解决方案
科研创新
IVD一抗
LYNX310设备
LYNX480设备
免疫显色系统及辅助试剂
RUO试剂
液态细胞质控品
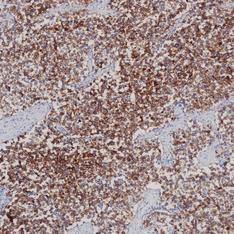
扁桃体CXCR5(BP6239)染色
相关产品
PLAP
BPM6151
INSM-1
BP6240
Carbonic Anhydrase 14
BP6314
CXCR5
重组兔单克隆抗体
CXCR5是一种G蛋白偶联受体(GPCR)蛋白,属于CXC趋化因子受体家族,在炎症、感染和免疫反应中起着重要作用。CXCR5在成熟B细胞和Burkitt淋巴瘤中表达,也在胃淋巴瘤的原发性和继发性滤泡中高度表达。有研究表明CXCR5/CXCL13,无论是单独使用还是联合使用,都可以作为肺癌预后的生物标志物。也有研究表明CXCR5在乳腺癌患者中过表达与淋巴结转移高度相关,CXCR5蛋白表达升高可能导致功能性p53蛋白缺失的乳腺肿瘤细胞的异常生存和迁移。
Specifications
目录号
BX50262
克隆号
BP6239
阳性对照
扁桃体
亚细胞定位
细胞膜/细胞质
组织类型
FFPE
修复方式
HIER
稀释比
1:100-1:200
规格
100μl/vial, 1ml/vial
用途
RUO
Support Documents
Datesheet
Contact Us
Address
浙江省杭州市滨江区滨安路688号天和高科技园区5号楼1303室
310052
Phone & Fax
+400-8769-741
+0571-88177680
Web & Mail
[email protected]
Follow Us
Scan QR Codes on Your Phone