产品中心

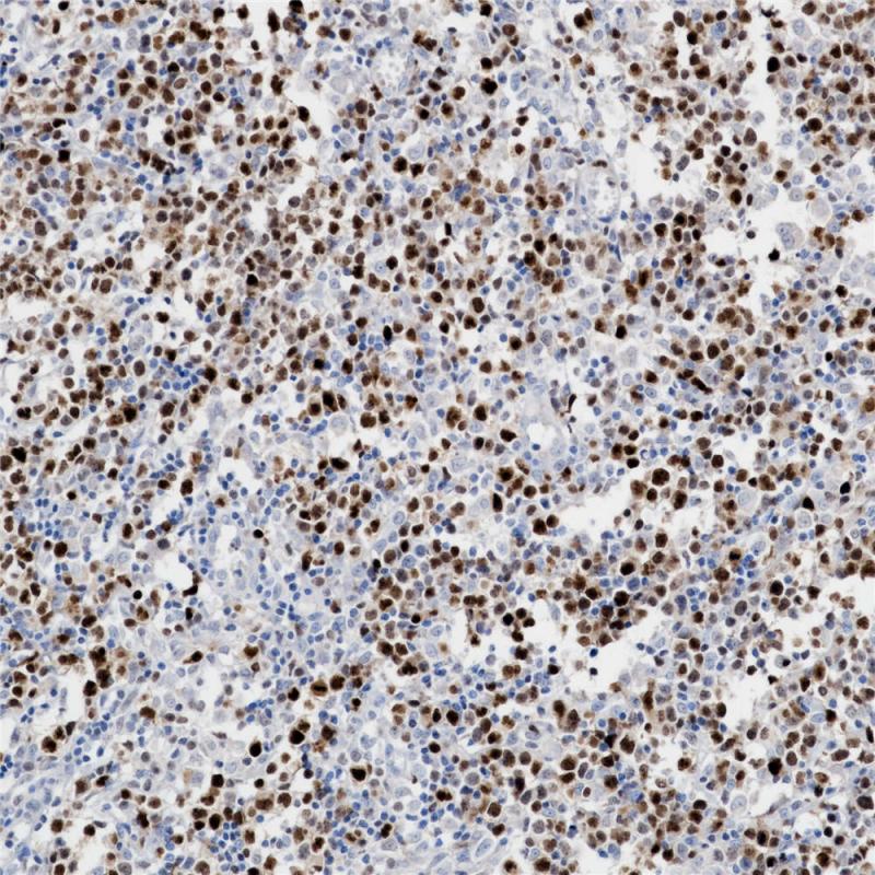
MUM1 重组兔单克隆抗体

MUM1是由多发性骨髓瘤基因(Multiple Myeloma Oncogene1或IRF4)编码的一种50kDa的蛋白。MUM1蛋白表达形态谱范围是从中心细胞到浆母细胞,在B细胞分化晚期呈过度表达。该抗体与BCL6和CD138抗体联合使用,能够帮助更好的了解B细胞淋巴瘤组织发生的机制与过程。MUM1与CD30的抗体组合是经典型何杰金氏淋巴瘤RS细胞的最好标记物。此外,MUM1表达与肿瘤预后相关。

Specifications

目录号
BX50089
克隆号
BP6094
阳性对照
弥漫性大B细胞淋巴瘤
亚细胞定位
细胞核
组织类型
FFPE
修复方式
HIER
稀释比
1:100-1:200
规格
100μl/vial, 1ml/vial
用途
RUO

Reference

1.Grossman A , Hans-Willi Mittrücker, Nicholl J , et al. Genomics, 1996, 37(2):0-233.
2.Gaidano G , Carbone A . LEUKEMIA, 2000, 14(4):563-566.

Support Documents

Contact Us

Address
浙江省杭州市滨江区滨安路688号天和高科技园区5号楼1303室
310052
Phone & Fax
+400-8769-741
+0571-88177680
Web & Mail

Follow Us

Scan QR Codes on Your Phone