产品中心

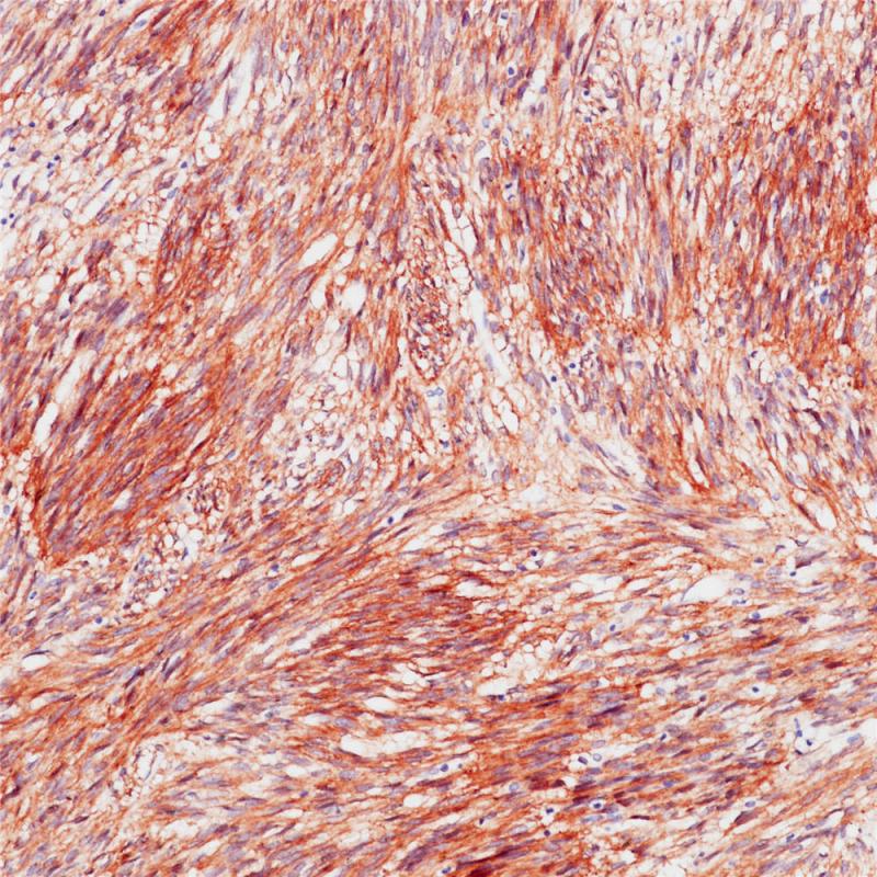
DOG1 重组兔单克隆抗体

DOG1是由TMEM16A基因编码的钙离子依赖性的氯离子通道蛋白,定位于染色体11q13。DOG1具有调节胃肠道平滑肌的胆碱能活性以及细胞的存活及增殖功能。超过90%的胃肠道间质瘤(GISTs)是DOG1阳性,染色定位为细胞质和细胞膜,呈弥漫性密集强染色。DOG1与CD117在GIST的鉴定中可作为重要指标,DOG1的灵敏度及特异性高于CD117。DOG1也用于唾液腺癌以及胰腺、肾脏癌鉴定中。

Specifications

目录号
BX50027
克隆号
BP6032
阳性对照
胃肠道间质瘤
亚细胞定位
细胞膜/细胞质
组织类型
FFPE
修复方式
HIER
稀释比
1:100-1:200
规格
100μl/vial, 1ml/vial
用途
RUO

Reference

1.Jung SH, et.al, Gut Liver. 2011 Jun;5(2):171-80.
2.Bergmann F, et.al, Hum Pathol. 2011 Jun;42(6):817-23. 

Support Documents

Contact Us

Address
浙江省杭州市滨江区滨安路688号天和高科技园区5号楼1303室
310052
Phone & Fax
+400-8769-741
+0571-88177680
Web & Mail

Follow Us

Scan QR Codes on Your Phone