产品中心

Cytokeratin 8&18 Cocktail

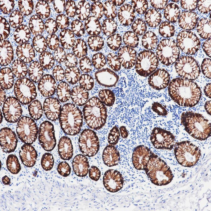
细胞角蛋白8&18表达于所有单层上皮,尤其是各种腺上皮。 该抗体能够识别50及43kDa的低分子量角蛋白,对应的Moll分类为CK8与CK18,主要用于鉴别诊断鳞癌与腺癌

Specifications

目录号
BX50145
克隆号
BP6005/BP6054
阳性对照
结肠
亚细胞定位
细胞质
组织类型
FFPE
修复方式
HIER
稀释比
1:100-1:200
规格
100μl/vial, 1ml/vial
用途
RUO

Reference

1.Wiedenmann B, et.al. Proc Natl Acad Sci U S A. 1986May;83(10):3500-4.
2.Quinn B. Am J Surg Pathol. 1998 May;22(5):550-6.

Support Documents

Contact Us

Address
浙江省杭州市滨江区滨安路688号天和高科技园区5号楼1303室
310052
Phone & Fax
+400-8769-741
+0571-88177680
Web & Mail

Follow Us

Scan QR Codes on Your Phone