首页
创新研发
产品中心
病理IHC整体解决方案
IVD一抗
LYNX310设备
LYNX480设备
免疫显色系统及辅助试剂
RUO试剂
液态细胞质控品
科研创新
科研目录抗体
技术服务
服务中心
资料下载
技术支持
关于我们
公司概况
新闻动态
荣誉资质
人才服务
联系我们
简体中文
简体中文
English
产品中心
病理IHC整体解决方案
科研创新
IVD一抗
LYNX310设备
LYNX480设备
免疫显色系统及辅助试剂
RUO试剂
液态细胞质控品
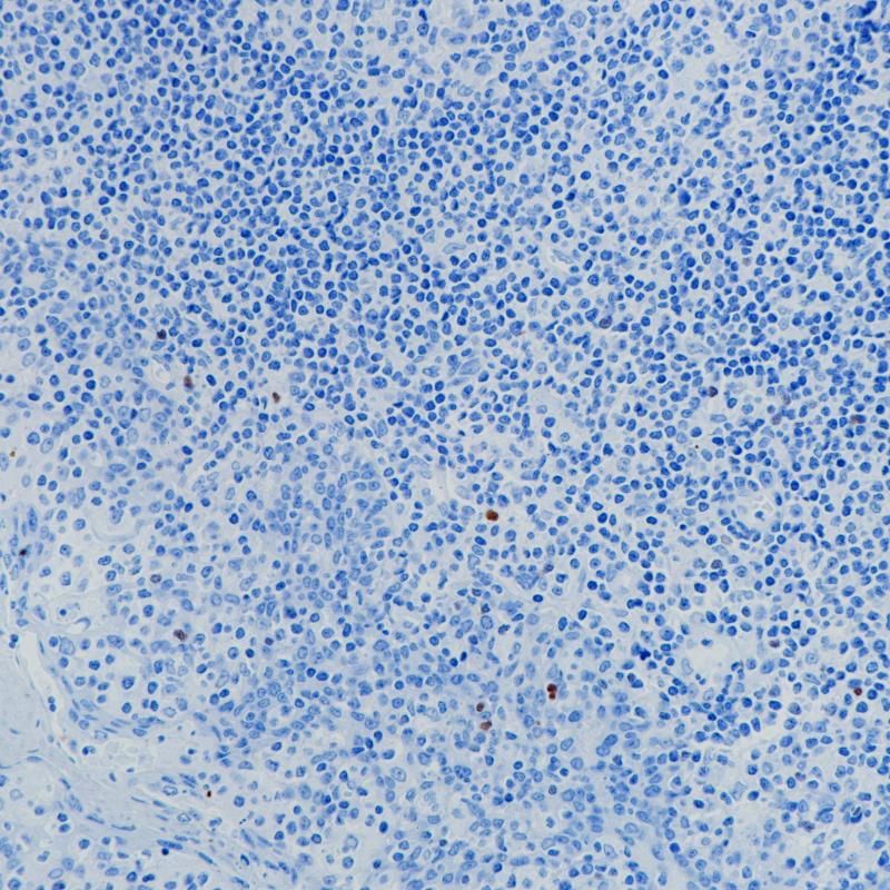
扁桃体ROR gamma T (BP6233)染色
扁桃体ROR gamma T (BP6233)染色-2
相关产品
BCOR
BP6303
SOX11
BP6070
Calreticulin
BP6279
ROR gamma T
重组兔单克隆抗体
视网膜相关孤儿受体(RORs)包含三个亚型:ROR α、ROR β和ROR γ。ROR γ可分为RORγ1和RORγ2 (RORγ T),它们表现出不同的组织特异性。ROR Gamma (T)仅在淋巴样室细胞中表达,即CD4+CD8+“双阳性”胸腺细胞、外周血Th17细胞和淋巴样器官的淋巴样组织诱导(LTi)细胞。目前,RORγ T被认为是开发抗自身免疫性疾病特别是银屑病药物的新靶点。
Specifications
目录号
BX50256
克隆号
BP6233
阳性对照
扁桃体
亚细胞定位
细胞核
组织类型
FFPE
修复方式
HIER
稀释比
1:100-1:200
规格
100μl/vial, 1ml/vial
用途
RUO
Support Documents
Datesheet
Contact Us
Address
浙江省杭州市滨江区滨安路688号天和高科技园区5号楼1303室
310052
Phone & Fax
+400-8769-741
+0571-88177680
Web & Mail
[email protected]
Follow Us
Scan QR Codes on Your Phone