首页
创新研发
产品中心
病理IHC整体解决方案
IVD一抗
LYNX310设备
LYNX480设备
免疫显色系统及辅助试剂
RUO试剂
液态细胞质控品
科研创新
科研目录抗体
技术服务
服务中心
资料下载
技术支持
关于我们
公司概况
新闻动态
荣誉资质
人才服务
联系我们
简体中文
简体中文
English
产品中心
病理IHC整体解决方案
科研创新
IVD一抗
LYNX310设备
LYNX480设备
免疫显色系统及辅助试剂
RUO试剂
液态细胞质控品
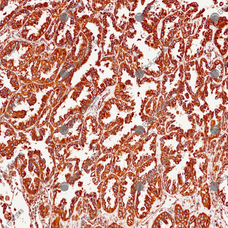
肺腺癌Calreticulin(BP6279)染色
相关产品
Estrogen receptor beta
BP6297
CD79a
BP6040
Myogenin
BP6137
Calreticulin
重组兔单克隆抗体
钙是一种通用的信号分子,参与许多细胞功能,如细胞运动、代谢、蛋白质修饰等。钙储存在内质网(ER)中,由钙结合伴侣如钙联蛋白和钙网蛋白(Calreticulin)缓冲。Calreticulin还可以作为内质网伴侣,确保新合成的糖蛋白的适当折叠和质量控制。钙网蛋白在各种正常组织和肿瘤组织中均有表达。研究表明,钙网蛋白能够刺激机体的抗肿瘤免疫反应,常用于肿瘤免疫相关的研究。
Specifications
目录号
BX50302
克隆号
BP6279
阳性对照
肺腺癌
亚细胞定位
细胞质
组织类型
FFPE
修复方式
HIER
稀释比
1:100-1:200
规格
100μl/vial, 1ml/vial
用途
RUO
Support Documents
Datesheet
Contact Us
Address
浙江省杭州市滨江区滨安路688号天和高科技园区5号楼1303室
310052
Phone & Fax
+400-8769-741
+0571-88177680
Web & Mail
[email protected]
Follow Us
Scan QR Codes on Your Phone