产品中心

BCOR 重组兔单克隆抗体

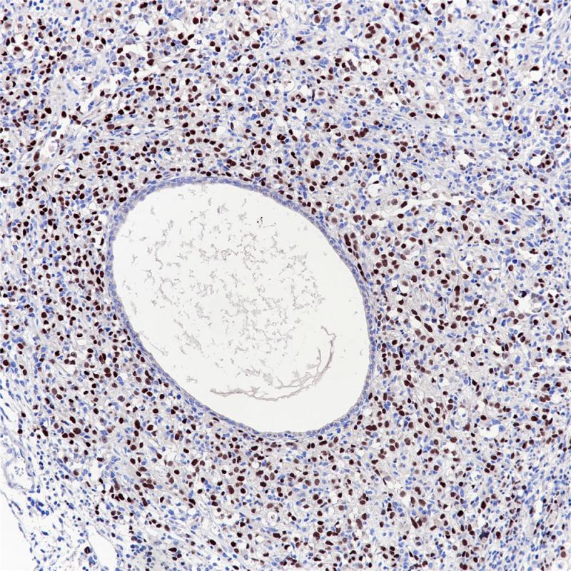
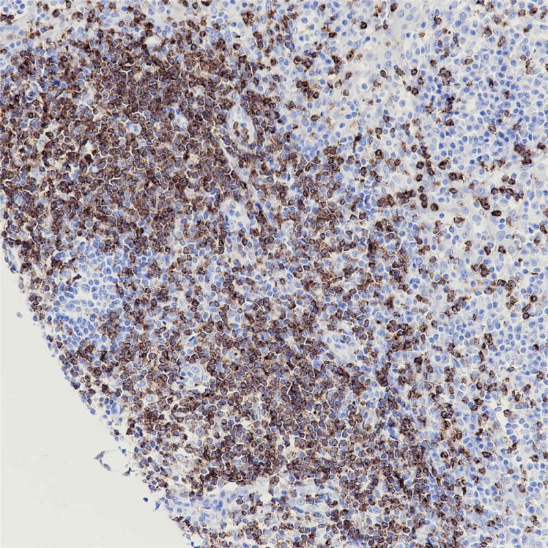
BCL6协同抑制蛋白(BCL6 corepressor protein, BCOR)是一种普遍表达的转录抑制蛋白,通过BCL6和其他转录因子募集到靶基因。BCOR基因位于Xp11.4区段,是一种表观遗传调节因子,与特定细胞分化及肢体结构发育相关。BCOR在多种肿瘤中都有表达,如横纹肌肉瘤、PNET、伴BCOR-CCNB3融合的肉瘤、伴有BCOR基因异常或UWHAE-NUTM2融合的肾透明细胞肉瘤和ZC3H7B-BCOR基因融合的高级别子宫内膜间充质肉瘤。在临床上BCOR常联合CD10和Cyclin D1对ZC3H7B-BCOR基因融合的高级别子宫内膜间充质肉瘤进行诊断。

Specifications

目录号
BX50326
克隆号
BP6303
阳性对照
子宫内膜癌
亚细胞定位
细胞核
组织类型
FFPE
修复方式
HIER
稀释比
1:100-1:200
规格
100μl/vial, 1ml/vial
用途
RUO

Reference

1. Choi, W.I. et al. (2013) Nucleic Acids Res 41, 6403-20.
2. Pugh, T.J. et al. (2012) Nature 488, 106-10.

Support Documents

Contact Us

Address
浙江省杭州市滨江区滨安路688号天和高科技园区5号楼1303室
310052
Phone & Fax
+400-8769-741
+0571-88177680
Web & Mail

Follow Us

Scan QR Codes on Your Phone