产品中心

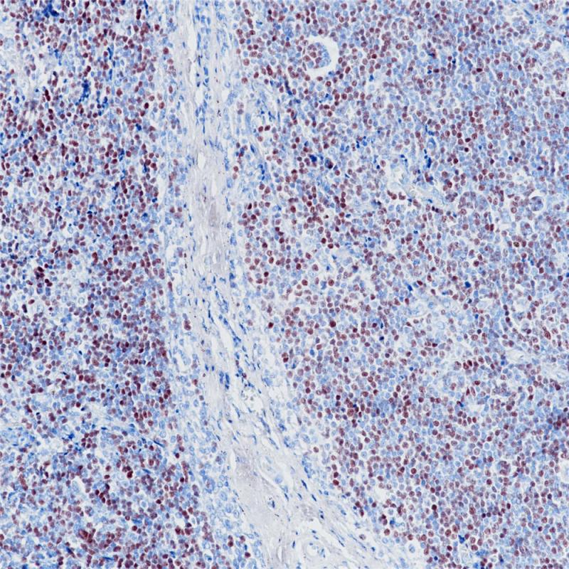
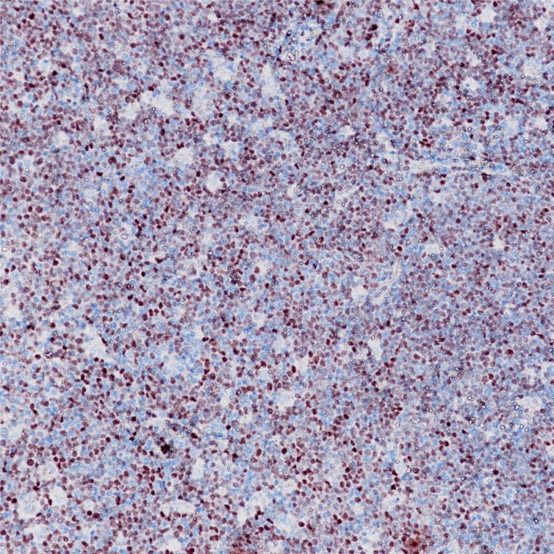
SOX11 重组兔单克隆抗体

SOX-11是一种核转录因子,定位于2P25.3,主要和胚胎神经发育相关。它主要包含了两个功能区,位于蛋白N端的HMG DNA结合区域,以及位于C端的反式激活区。SOX-11的表达对于胚胎神经系统以及组织重构都至关重要,它在人体胚胎神经系统的发育过程中都有正常表达,并且对于神经突的生长和神经元的存在都是必须的。在18-25周的胎儿组织中,SOX-11主要表达在脑部。中枢神经外,SOX-11主要在上皮与间皮组织的交界处表达。SOX-11在正常成人的组织中不表达。SOX-11在多数套细胞淋巴瘤中存在过表达,包括罕见的cyclin D1-情况。SOX-11目前主要被用于鉴别套细胞淋巴瘤。

Specifications

目录号
BX50065
克隆号
BP6070
阳性对照
套细胞淋巴瘤
亚细胞定位
细胞核
组织类型
FFPE
修复方式
HIER
稀释比
1:100-1:200
规格
100μl/vial, 1ml/vial
用途
RUO

Reference

1.Chen Y-H et al. Mod. Pathol. 2010;23(1):105–12.
2.Mozos A et al. Haematologica. 2009;94(11):1555–1562.

Support Documents

Contact Us

Address
浙江省杭州市滨江区滨安路688号天和高科技园区5号楼1303室
310052
Phone & Fax
+400-8769-741
+0571-88177680
Web & Mail

Follow Us

Scan QR Codes on Your Phone