首页
创新研发
产品中心
病理IHC整体解决方案
IVD一抗
LYNX310设备
LYNX480设备
免疫显色系统及辅助试剂
RUO试剂
液态细胞质控品
科研创新
科研目录抗体
技术服务
服务中心
资料下载
技术支持
关于我们
公司概况
新闻动态
荣誉资质
人才服务
联系我们
简体中文
简体中文
English
产品中心
病理IHC整体解决方案
科研创新
IVD一抗
LYNX310设备
LYNX480设备
免疫显色系统及辅助试剂
RUO试剂
液态细胞质控品
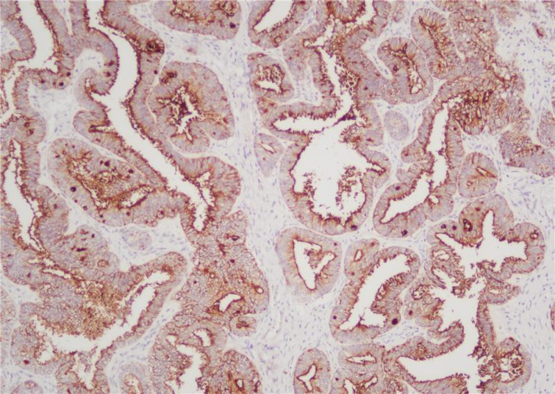
前列腺癌AMACR(BPM6227)染色
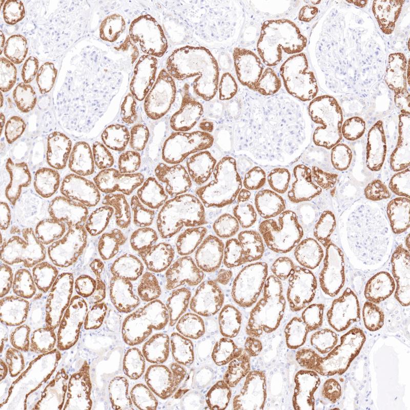
肾AMACR(BPM6227)染色
相关产品
Cytokeratin 8&18
BP6005/BP6054
CA 125
BP6014
IgG4
BP6309
AMACR/p504s
鼠单克隆抗体
AMACR (P504S蛋白)在支链脂肪酸及其衍生物的β -氧化中起作用。AMACR存在于前列腺、肝、胆道、肾、肺等多种组织的线粒体和过氧化物酶体中。在90%以上的前列腺癌中发现了AMACR的弥漫染色模式。AMACR抗体主要用于前列腺癌的临床诊断。
Specifications
目录号
BX50250
克隆号
BPM6227
阳性对照
前列腺癌
亚细胞定位
细胞质
组织类型
FFPE
修复方式
HIER
稀释比
1:100-1:200
规格
100μl/vial, 1ml/vial
用途
RUO
Support Documents
Datesheet
Contact Us
Address
浙江省杭州市滨江区滨安路688号天和高科技园区5号楼1303室
310052
Phone & Fax
+400-8769-741
+0571-88177680
Web & Mail
[email protected]
Follow Us
Scan QR Codes on Your Phone