产品中心

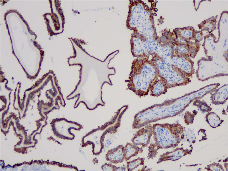
Cytokeratin 19 重组兔单克隆抗体

细胞角蛋白19(CK19)是最小的角蛋白且非常罕见,因为它广泛缺乏所有其他角蛋白典型的非螺旋尾状结构域。它可能是由角质形成细胞角蛋白发展而来的。CK19在大多数简单上皮细胞中表达(不包括实质细胞如肝细胞,胰腺腺泡细胞和肾近端肾小管细胞),特别是在各种导管上皮细胞,小肠和大肠上皮细胞,胃小凹上皮细胞和间皮细胞中。此外,它存在于大多数假复层上皮细胞和尿路上皮细胞以及非角化复层鳞状上皮的基细胞中。在肿瘤中,CK19广泛表达于腺癌和鳞状细胞癌中,因此并不常用作癌分型的免疫组织化学标记物。CK19在大多数肝细胞中不表达,因此可用于鉴定肝转移,以及肝细胞特异性抗原的检测。

Specifications

目录号
BX50017
克隆号
BP6022
阳性对照
甲状腺癌
亚细胞定位
细胞质
组织类型
FFPE
修复方式
HIER
稀释比
1:100-1:200
规格
100μl/vial, 1ml/vial
用途
RUO

Reference

1.Barroeta JE, et.al,Endocr Pathol. 2006 Fall;17(3):225-34.
2.Schmitt AM, et.al,Am J Surg Pathol. 2007 Nov;31(11):1677-82.

Support Documents

Contact Us

Address
浙江省杭州市滨江区滨安路688号天和高科技园区5号楼1303室
310052
Phone & Fax
+400-8769-741
+0571-88177680
Web & Mail

Follow Us

Scan QR Codes on Your Phone