产品中心

CEA 重组兔单克隆抗体

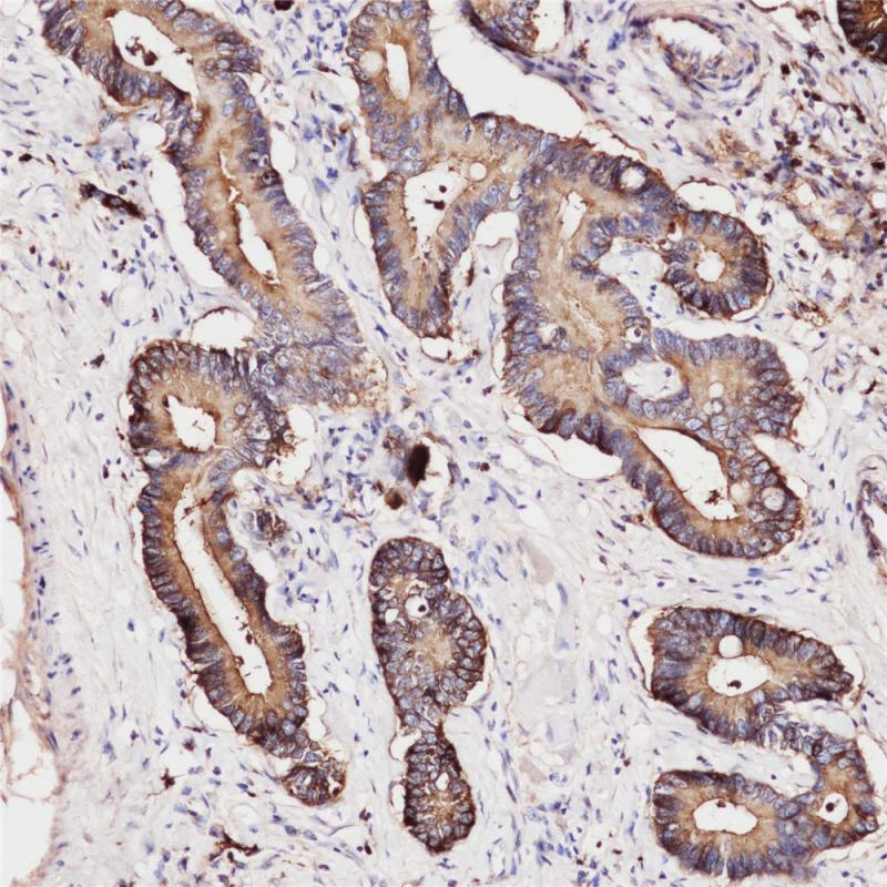
癌胚抗原(CEA)是结直肠癌组织中产生的糖蛋白。 正常成人组织中,CEA在顶端边界表达,而在细胞质中有弱表达,如结肠的柱状细胞,小肠,胃(表面上皮,颈粘液细胞和弱表达于幽门粘液细胞),胰腺导管 ,汗腺的分泌上皮,舌的鳞状上皮细胞,食管,子宫颈和尿路上皮。 CEA抗体有助于腺癌分类,特别是在胃肠道中,包括结肠癌和胰腺癌。 IHC结果还有助于区分分泌型脑膜瘤和甲状腺髓样癌。

Specifications

目录号
BX50080
克隆号
BP6085
阳性对照
结肠癌
亚细胞定位
细胞质/腔膜
组织类型
FFPE
修复方式
HIER
稀释比
1:100-1:200
规格
100μl/vial, 1ml/vial
用途
RUO

Reference

1.Probst-Cousin S, Villagran-Lillo R, Lahl R, Bergmann M, Schmid KW, Gullotta F. Cancer 1997,79:2003-15.
2.Nollau P, et al. Cancer Res. 1997 Jun; 57(12):2354-57.

Support Documents

Contact Us

Address
浙江省杭州市滨江区滨安路688号天和高科技园区5号楼1303室
310052
Phone & Fax
+400-8769-741
+0571-88177680
Web & Mail

Follow Us

Scan QR Codes on Your Phone