产品中心

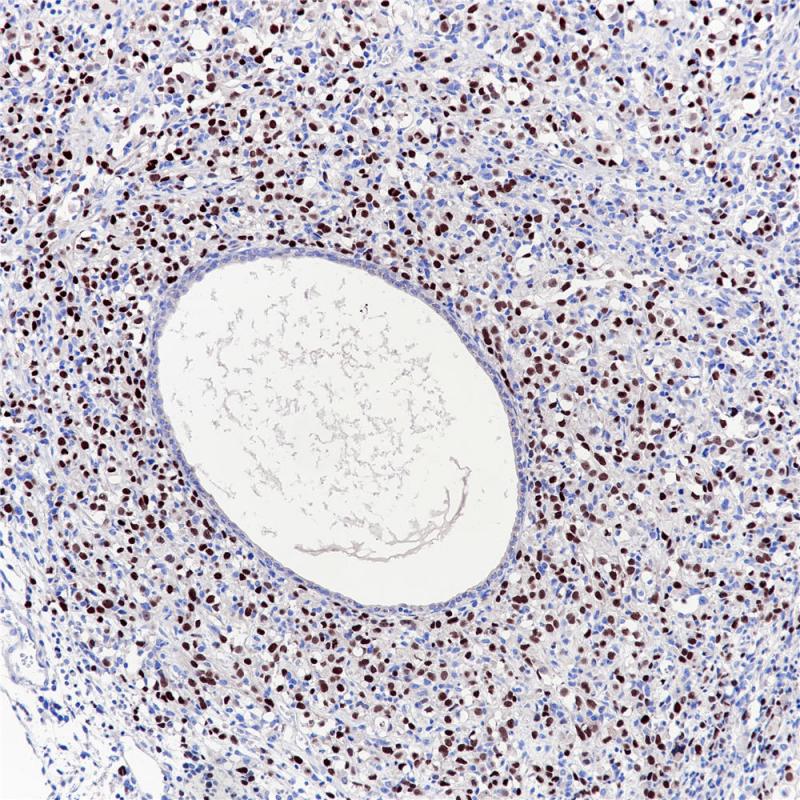
Myogenin 重组兔单克隆抗体

Myogenin属于生肌调节因子家族成员之一,在骨骼肌起源的细胞上表达。主要用于正常横纹肌和横纹肌肉瘤的诊断和鉴别诊断。

Specifications

目录号
BX50133
克隆号
BP6137
阳性对照
横纹肌肉瘤
亚细胞定位
细胞核
组织类型
FFPE
修复方式
HIER
稀释比
1:100-1:200
规格
100μl/vial, 1ml/vial
用途
RUO

Reference

1.Combes AN et al. Genome Med 11:3 (2019).
2.McClure MJ et al. Am J Physiol Cell Physiol 316:C876-C887 (2019).

Support Documents

Contact Us

Address
浙江省杭州市滨江区滨安路688号天和高科技园区5号楼1303室
310052
Phone & Fax
+400-8769-741
+0571-88177680
Web & Mail

Follow Us

Scan QR Codes on Your Phone