产品中心

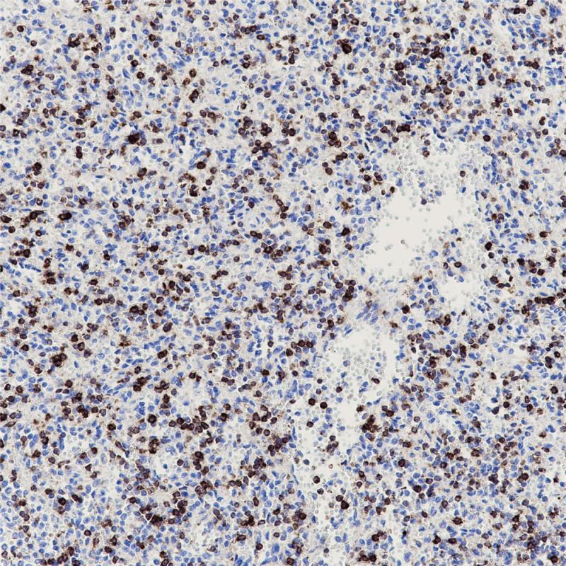
CD7 重组兔单克隆抗体

CD7是分子量为40kDa的细胞膜蛋白,为表达于胸腺细胞膜表面最早的T细胞特异性抗原,存在于绝大多数T细胞、NK细胞和胸腺细胞。该抗体可用于检测人的正常T细胞、也可用于淋巴瘤和白血病的分类。

Specifications

目录号
BX50100
克隆号
BP6105
阳性对照
扁桃体
亚细胞定位
细胞膜
组织类型
FFPE
修复方式
HIER
稀释比
1:100-1:200
规格
100μl/vial, 1ml/vial
用途
RUO

Reference

1.Cotta AC, et al. Appl Immunohistochem Mol Morphol. 2006 Sep; 14(3):291-5.
2.Kim YH, Hoppe RT. Semin Oncol. 1999 Jun; 26(3):276-89.

Support Documents

Contact Us

Address
浙江省杭州市滨江区滨安路688号天和高科技园区5号楼1303室
310052
Phone & Fax
+400-8769-741
+0571-88177680
Web & Mail

Follow Us

Scan QR Codes on Your Phone