产品中心

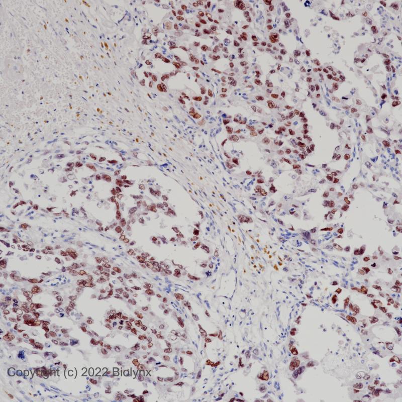
AR-V7 重组兔单克隆抗体

AR V7属于核激素受体家族。它含有核受体DNA结合域。类固醇激素受体是配体激活的转录因子,调节真核基因的表达,影响细胞增殖和分化的目标组织。转录因子的活性受结合共激活因子和共抑制因子的调节。该靶点是雄激素受体的剪接变体,缺乏c端雄激素结合位点。AR-V7在前列腺癌的发生、发展和耐药性的产生中具有重要意义。

Specifications

目录号
BX50174
克隆号
BP6152
阳性对照
前列腺癌
亚细胞定位
细胞核
组织类型
FFPE
修复方式
HIER
稀释比
1:100-1:200
规格
100μl/vial, 1ml/vial
用途
RUO

Reference

1.Chen W et al. J Cell Biochem 120:14055-14064 (2019).

2.Honda M et al. Prostate 79:1043-1052 (2019).

Support Documents

Contact Us

Address
浙江省杭州市滨江区滨安路688号天和高科技园区5号楼1303室
310052
Phone & Fax
+400-8769-741
+0571-88177680
Web & Mail

Follow Us

Scan QR Codes on Your Phone