产品中心

Oct 3/4 重组兔单克隆抗体

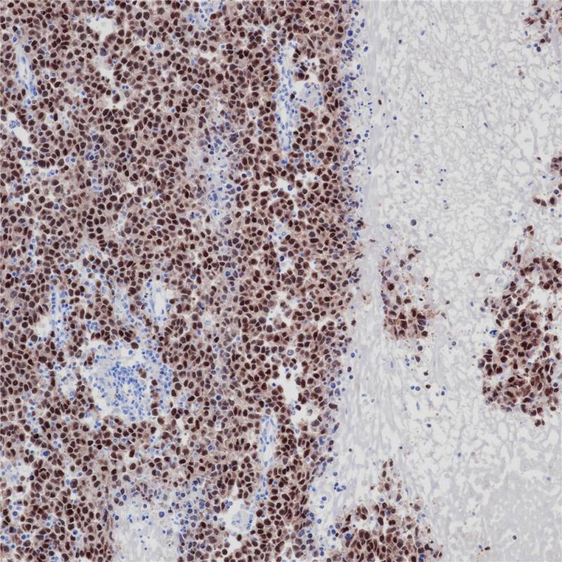
OCT-3/4(Oct4,POU5F1)是POU转录因子家族的成员,位于染色体上6p21.31上,在未分化的胚胎干细胞和生殖细胞强表达,但在所有分化后的体细胞中表达下调,通过八聚体基序(5'-ATTTCAT-3')同转录位点结合。OCT-3/4是生殖细胞肿瘤特异性标记物,用于精原细胞癌(包括纵隔的精原细胞瘤)、中枢神经系统的生殖细胞瘤、卵巢的无性细胞癌和胚胎癌的诊断。

Specifications

目录号
BX50186
克隆号
BP6164
阳性对照
精原细胞瘤
亚细胞定位
细胞核
组织类型
FFPE
修复方式
HIER
稀释比
1:100-1:200
规格
100μl/vial, 1ml/vial
用途
RUO

Reference

1.Zhang S et al. Nucleic Acids Res 47:4449-4461 (2019).
2.Chang YC et al. Cell Death Dis 11:195 (2020).

Support Documents

Contact Us

Address
浙江省杭州市滨江区滨安路688号天和高科技园区5号楼1303室
310052
Phone & Fax
+400-8769-741
+0571-88177680
Web & Mail

Follow Us

Scan QR Codes on Your Phone