产品中心

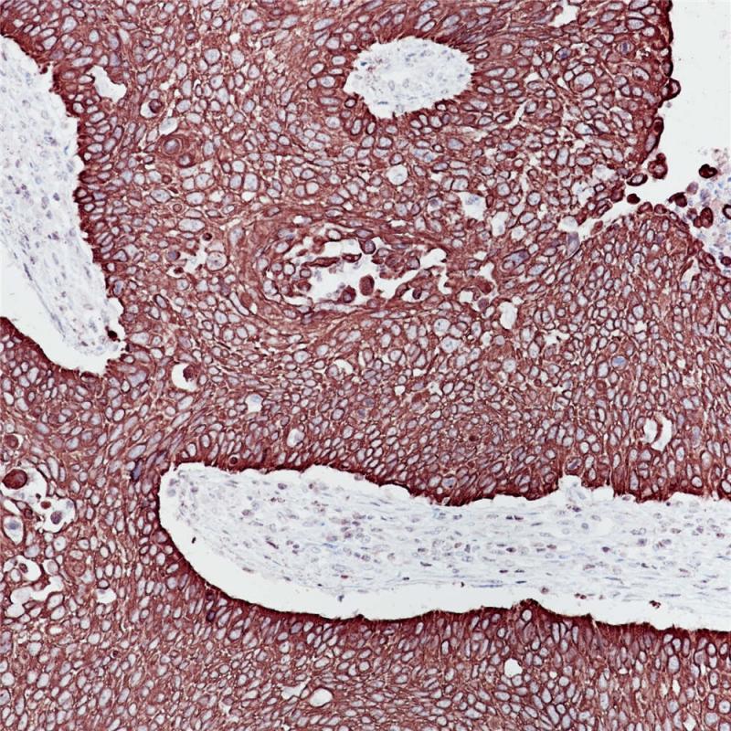
MDM2 重组兔单克隆抗体

MDM2蛋白最初被鉴定为小鼠转化系统中的致癌基因。MDM2的作用是结合p53并阻断p53介导的共转染报告基因结构的反转录激活。P53是迄今为止发现的人类癌症中最常见的突变基因。p53的表达通过阻止细胞周期从G1期进入S期而抑制细胞生长。最重要的是,在细胞暴露于任何DNA损伤因子后,p53在细胞周期的G1期引起细胞阻滞。MDM2基因在保持p53野生型的人肉瘤中被扩增,过表达MDM2的肿瘤细胞可以耐受p53的高水平表达。这些发现表明MDM2过表达至少是肿瘤发生过程中p53功能被破坏的一种机制。

Specifications

目录号
BX50226
克隆号
BP6203
阳性对照
脂肪肉瘤
亚细胞定位
细胞核
组织类型
FFPE
修复方式
HIER
稀释比
1:100-1:200
规格
100μl/vial, 1ml/vial
用途
RUO

Support Documents

Contact Us

Address
浙江省杭州市滨江区滨安路688号天和高科技园区5号楼1303室
310052
Phone & Fax
+400-8769-741
+0571-88177680
Web & Mail

Follow Us

Scan QR Codes on Your Phone