首页
创新研发
产品中心
病理IHC整体解决方案
IVD一抗
LYNX310设备
LYNX480设备
免疫显色系统及辅助试剂
RUO试剂
液态细胞质控品
科研创新
科研目录抗体
技术服务
服务中心
资料下载
技术支持
关于我们
公司概况
新闻动态
荣誉资质
人才服务
联系我们
简体中文
简体中文
English
产品中心
病理IHC整体解决方案
科研创新
IVD一抗
LYNX310设备
LYNX480设备
免疫显色系统及辅助试剂
RUO试剂
液态细胞质控品
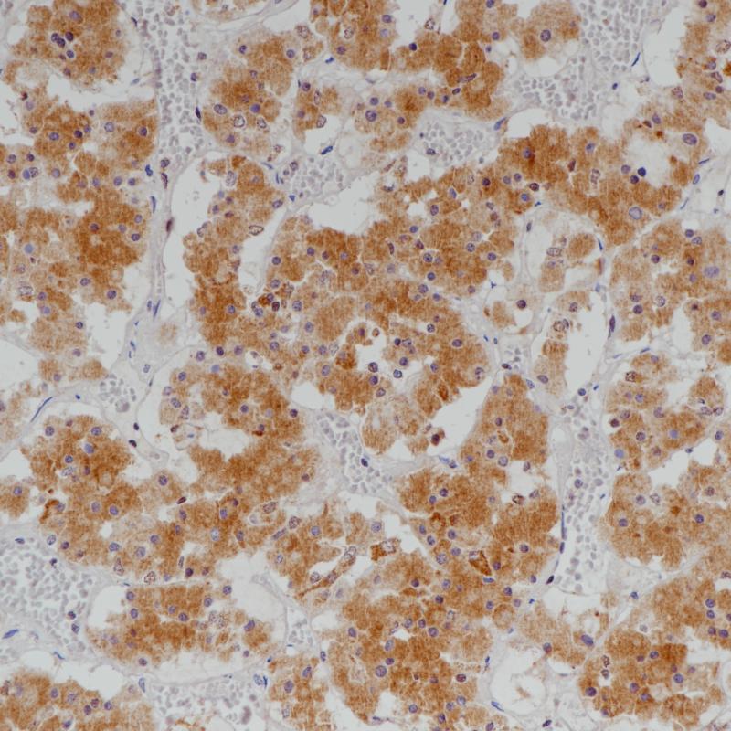
垂体前叶Growth Hormone(BPM6190)染色
相关产品
Nkx3.1
BP6299
Cytokeratin (HMW)
BP6021/ BP6077
PMEL 17
BP6031
Growth Hormone(GH)
鼠单克隆抗体
生长激素(GH),促生长激素,是负责调节全身生长的主要激素,在有机代谢中也很重要。它是由垂体前叶的嗜酸性或促生长细胞合成的。生长激素通过促进肝脏产生体细胞素间接刺激生长,而体细胞素直接作用于骨骼和软组织导致生长。生长激素对肝脏、脂肪组织和肌肉产生直接的代谢影响。一般来说,生长激素促进蛋白质合成,保存碳水化合物,消耗脂肪储存。
推荐使用人类生长激素(HGH)检测正常和肿瘤组织中感兴趣的特异性抗原,作为常规组织病理学的辅助手段。
Specifications
目录号
BX50213
克隆号
BPM6190
阳性对照
脑垂体
亚细胞定位
细胞质
组织类型
FFPE
修复方式
HIER
稀释比
1:100-1:200
规格
100μl/vial, 1ml/vial
用途
RUO
Support Documents
Datesheet
Contact Us
Address
浙江省杭州市滨江区滨安路688号天和高科技园区5号楼1303室
310052
Phone & Fax
+400-8769-741
+0571-88177680
Web & Mail
[email protected]
Follow Us
Scan QR Codes on Your Phone