产品中心

Villin 重组兔单克隆抗体

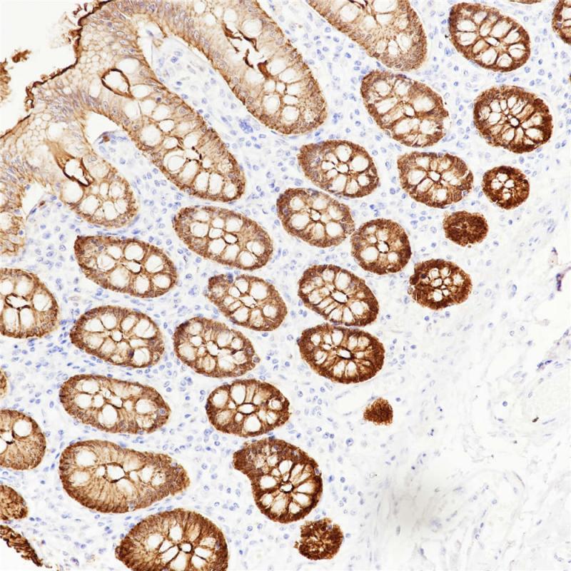
Villin是一种分子量约为93kDa的钙调肌动蛋白,主要与调节肌纤维聚集活动相关。它是肠道和肾小管上皮细胞的刷状缘微绒毛的主要组成成分。在正常组织中,Villin只在胃肠道以及泌尿道的上皮中表达。在肿瘤组织中,Villin在大肠癌、肝细胞癌、子宫内膜癌、卵巢癌和肺癌中均有表达。Villin通常被用于鉴别直肠转移癌与其他胃肠道原发癌。

Specifications

目录号
BX50061
克隆号
BP6066
阳性对照
结肠
亚细胞定位
细胞核
组织类型
FFPE
修复方式
HIER
稀释比
1:100-1:200
规格
100μl/vial, 1ml/vial
用途
RUO

Reference

1.R Moll et al. Histochem Cell Biol (2008) 129:705–733.
2.R Moll et al. Cell, Vol. 31, 1 l-24, November 1982.

Support Documents

Contact Us

Address
浙江省杭州市滨江区滨安路688号天和高科技园区5号楼1303室
310052
Phone & Fax
+400-8769-741
+0571-88177680
Web & Mail

Follow Us

Scan QR Codes on Your Phone