产品中心

Phosphohistone H3 (PHH3) 重组兔单克隆抗体

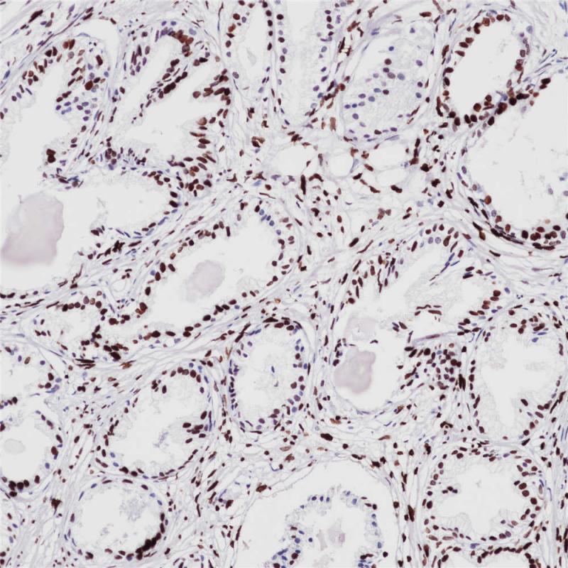
磷酸化组蛋白H3(PHH3)是一种核心组蛋白,它和其他组蛋白构成了真核细胞染色质的主要蛋白组分。在哺乳动物细胞中,PHH3在间期表达量可以忽略,但在有丝分裂的染色质凝聚时达到最高值。免疫组化研究显示,PHH3抗体可特异性检测处于第10、28位丝氨酸磷酸化时的核心组蛋白H3。因此,PHH3可作为有丝分裂特异性标记物,鉴别细胞凋亡体、核分裂碎片,对于中枢神经系统肿瘤、黑色素瘤、软组织肿瘤、GIST等,有助于肿瘤病理分级,预后判断等。

Specifications

目录号
BX50087
克隆号
BP6092
阳性对照
扁桃体
亚细胞定位
细胞核
组织类型
FFPE
修复方式
HIER
稀释比
1:100-1:200
规格
100μl/vial, 1ml/vial
用途
RUO

Reference

1.Thareja S, et al. Am J Dermatopathol. 2014 Jan; 36(1):64-7.
2.Casper DJ, et al. Am J Dermatopathol. 2010 Oct; 32(7):650-4.

Support Documents

Contact Us

Address
浙江省杭州市滨江区滨安路688号天和高科技园区5号楼1303室
310052
Phone & Fax
+400-8769-741
+0571-88177680
Web & Mail

Follow Us

Scan QR Codes on Your Phone