产品中心

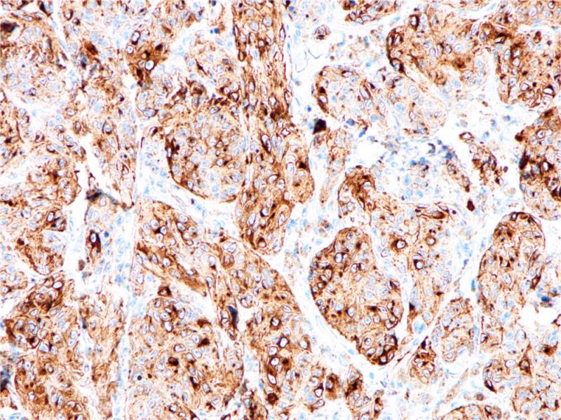
PMEL 17 重组兔单克隆抗体

PMEL17是黑色素小体专一抗原,也称作HMB45或GP100。PMEL17在黑色素细胞从I阶到II阶发育成熟的过程中起到重要作用,其从I阶到II阶的转变是囊泡的伸长,内部形态为清晰的纤维状结构。PMEL17分布于未成熟以及活化的黑色素细胞(如炎症,增生的血管或潜在的肿瘤),不存在于成熟和静息的黑色素细胞。PMEL17在黑色素瘤中也有表达。研究表明PMEL17的常规使用可作为灵敏特定的黑色素细胞标记。

Specifications

目录号
BX50026
克隆号
BP6031
阳性对照
黑色素瘤
亚细胞定位
细胞质
组织类型
FFPE
修复方式
HIER
稀释比
1:100-1:200
规格
100μl/vial, 1ml/vial
用途
RUO

Reference

1.Rothberg BE, et.al, Mod Pathol. 2008 Sep;21(9):1121-9. 
2.Wagner SN, et.al, Cancer Immunol Immunother. 1997 Jun;44(4):239-47.

Support Documents

Contact Us

Address
浙江省杭州市滨江区滨安路688号天和高科技园区5号楼1303室
310052
Phone & Fax
+400-8769-741
+0571-88177680
Web & Mail

Follow Us

Scan QR Codes on Your Phone