产品中心

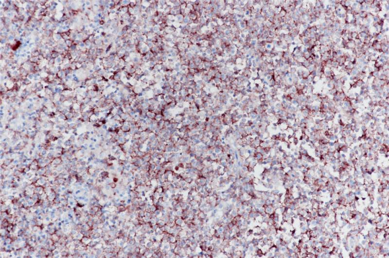
CD19 重组兔单克隆抗体

人CD19抗原是一种属于免疫球蛋白(Ig)超级家族的跨膜糖蛋白,能够引发一系列生物反应,可能对B细胞信号传导和/或生长调节及体液免疫应答的发展具有重要意义。CD19特异性地在正常B细胞、肿瘤B细胞和滤泡树突状细胞中表达。正常组织中,B细胞系发育的整个过程都表达CD19,但在浆细胞的终末分化期表达下调。肿瘤组织中,CD19高度保守地表达于大多数B细胞肿瘤,如大多数急性淋巴细胞白血病(ALL),慢性淋巴细胞白血病(CLL)及B细胞淋巴瘤。

Specifications

目录号
BX50041
克隆号
BP6046
阳性对照
扁桃体
亚细胞定位
细胞膜
组织类型
FFPE
修复方式
HIER
稀释比
1:100-1:200
规格
100μl/vial, 1ml/vial
用途
RUO

Reference

1.Wang K, et.al, Exp Hematol Oncol. 2012 Nov 29;1(1):36.
2.Hammer O, et.al, MAbs. 2012 Sep-Oct;4(5):571-7.

Support Documents

Contact Us

Address
浙江省杭州市滨江区滨安路688号天和高科技园区5号楼1303室
310052
Phone & Fax
+400-8769-741
+0571-88177680
Web & Mail

Follow Us

Scan QR Codes on Your Phone