产品中心

CD3 重组兔单克隆抗体

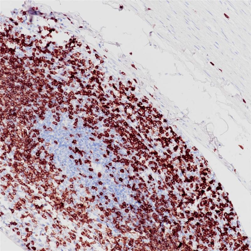
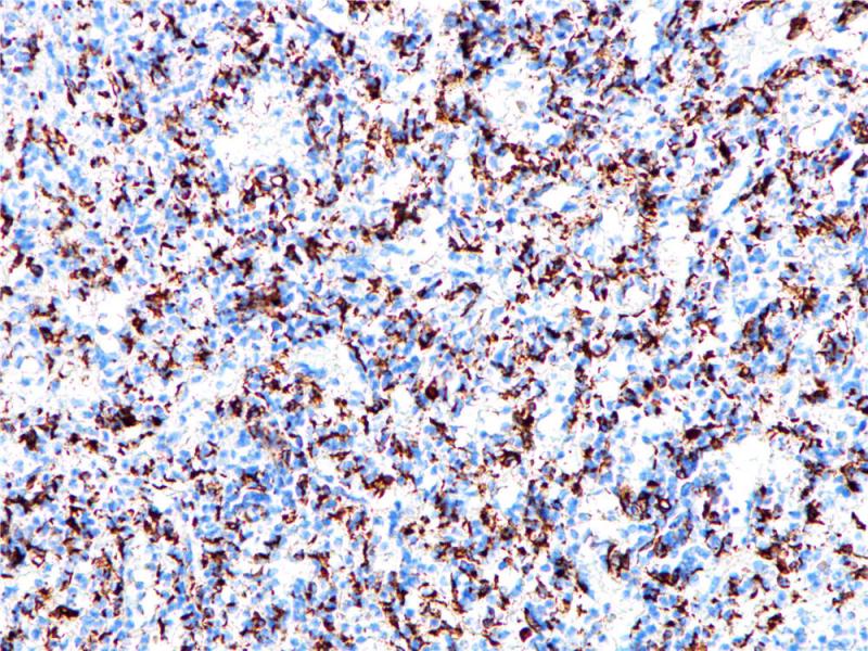
CD3蛋白是一种T细胞标志物,由4种膜糖蛋白亚型组成的复合物,包含胞外、跨膜和胞内结构域。CD3复合物负责介导TCR识别抗原所产生的活化信号向胞内传递的过程,介导T细胞增殖和细胞因子的释放。CD3仅在T细胞中发现。在恶性淋巴瘤中,CD3是一种广泛的T细胞系限制性抗原,在80%~97%的T细胞淋巴瘤中能被检测到。成熟T细胞淋巴瘤可能异常丢失CD3,如蕈样霉菌病,外周T细胞淋巴瘤,间变性大细胞淋巴瘤。CD3是恶性淋巴瘤和淋巴样白血病分类的重要标志物。

Specifications

目录号
BX50022
克隆号
BP6027
阳性对照
扁桃体
亚细胞定位
细胞膜
组织类型
FFPE
修复方式
HIER
稀释比
1:100-1:200
规格
100μl/vial, 1ml/vial
用途
RUO

Reference

1.Walts AE,et.al, Diagn Cytopathol. 2012 Jul;40(7):565-9.
2.Hudacko R, et.al, Mod Pathol. 2013 Sep;26(9):1241-5.

Support Documents

Contact Us

Address
浙江省杭州市滨江区滨安路688号天和高科技园区5号楼1303室
310052
Phone & Fax
+400-8769-741
+0571-88177680
Web & Mail

Follow Us

Scan QR Codes on Your Phone