产品中心

Human Placental Lactogen 重组兔单克隆抗体

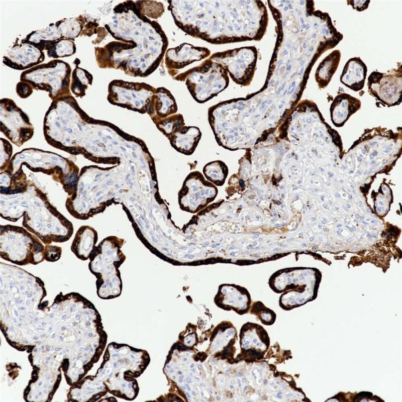
人胎盘催乳素(Human Placental Lactogen,HPL)生成于滋养层细胞,超微结构定位显示胎盘催乳素储存于这些细胞内较小的胞浆颗粒中,具有和 HCG等其他激素不同的分泌机制,其表达水平在妊娠期内逐步增加。HPL主要用于绒癌、睾丸癌、乳腺癌和卵巢恶性畸胎瘤的诊断和少数具有异位性激素分泌的肿瘤如肺癌的研究。

Specifications

目录号
BX50109
克隆号
BP6114
阳性对照
胎盘
亚细胞定位
细胞质
组织类型
FFPE
修复方式
HIER
稀释比
1:100-1:200
规格
100μl/vial, 1ml/vial
用途
RUO

Reference

1.Walsh S.T., Kossiakoff A.A. J. Mol. Biol. 358:773-784(2006).
2.Gaudet P., Livstone M.S., Lewis S.E., Thomas P.D. Brief. Bioinformatics 12:449-462(2011).

Support Documents

Contact Us

Address
浙江省杭州市滨江区滨安路688号天和高科技园区5号楼1303室
310052
Phone & Fax
+400-8769-741
+0571-88177680
Web & Mail

Follow Us

Scan QR Codes on Your Phone