产品中心

HER2 重组兔单克隆抗体

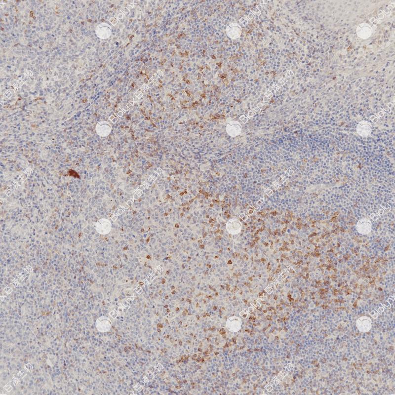
HER2(又称 HER2/neu, c-erbB2, ERBB2或neu)是一种跨膜受体酪氨酸激酶,是一种致癌基因,它的激活会引起恶性转化和增加细胞的恶性潜能(细胞增殖、侵袭等)。HER-2在15-25%的原发性乳腺癌中过度表达,HER-2也可在肠型胃癌和胃食管癌、卵巢癌、高分化子宫内膜癌和一些涎腺导管瘤中发现。c-erbB-2阳性乳腺癌通常与雌激素和孕酮受体阴性有关。因此,预后不良与c-erbB-2阳性有关。

Specifications

目录号
BX50015
克隆号
BP6020
阳性对照
乳腺癌
亚细胞定位
细胞膜
组织类型
FFPE
修复方式
HIER
稀释比
1:100-1:200
规格
100μl/vial, 1ml/vial
用途
RUO

Reference

1.Olayioye M.A., et.al. Chem. 274:17209-17218(1999).
2.Wang S.C., et.al. Cancer Cell 6:251-261(2004).

Support Documents

Contact Us

Address
浙江省杭州市滨江区滨安路688号天和高科技园区5号楼1303室
310052
Phone & Fax
+400-8769-741
+0571-88177680
Web & Mail

Follow Us

Scan QR Codes on Your Phone