产品中心

Cytokeratin 10 重组兔单克隆抗体

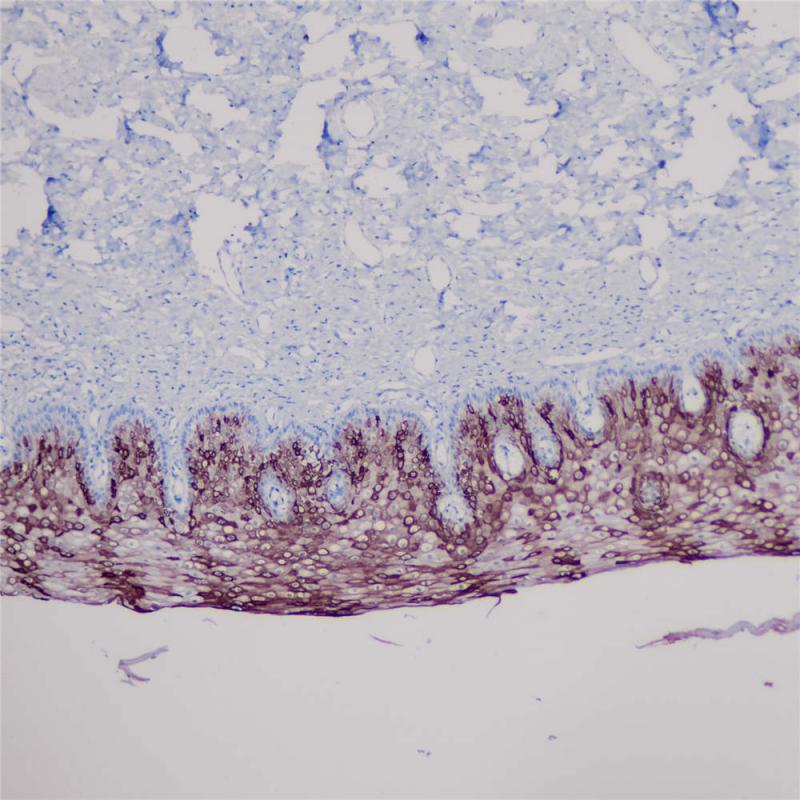
CK10属于I型角蛋白,是一种中间丝蛋白。CK10能够特异性的阻断角质细胞的增殖过程。CK10通常表达在上皮的基底上层细胞以及颗粒层细胞中,鳞状上皮中也有表达。此外在汗腺导管以及皮脂腺细胞中也有表达。 CK10表达与鳞状细胞分化程度相关,表达低的细胞一般分化层度较差,有报道称在口腔以及咽喉鳞状细胞癌中大概只有50%的表达率。 CK10可以用于区分Paget’s病(阴性表达)和基底细胞癌和鳞癌(阳性表达)。

Specifications

目录号
BX50052
克隆号
BP6057
阳性对照
宫颈
亚细胞定位
细胞质
组织类型
FFPE
修复方式
HIER
稀释比
1:100-1:200
规格
100μl/vial, 1ml/vial
用途
RUO

Reference

1.Moll R et al. Histochem Cell Biol. 2008 Jun;129(6):705-33.
2.Moll R et al. Cell. 1982 Nov;31(1):11-24.

Support Documents

Contact Us

Address
浙江省杭州市滨江区滨安路688号天和高科技园区5号楼1303室
310052
Phone & Fax
+400-8769-741
+0571-88177680
Web & Mail

Follow Us

Scan QR Codes on Your Phone