产品中心

Cytokeratin 8 重组兔单克隆抗体

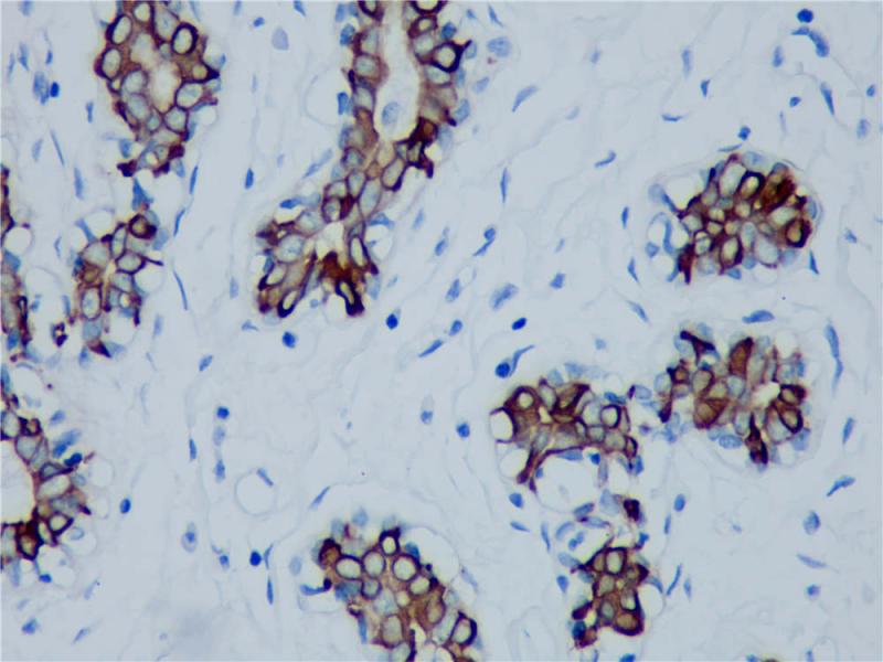
细胞角蛋白8(CK8)是II型中间丝基因家族的成员,CK8通常与CK18一起构成高度不溶的细胞纤维。CK8在上皮细胞和一些癌细胞中表达。正常组织中,CK8通常在腺上皮细胞、移行上皮细胞和肝细胞中表达。癌组织中,CK8常在腺癌中高度表达,如人的乳腺癌或结肠癌。

Specifications

目录号
BX50001
克隆号
BP6005
阳性对照
肺腺癌
亚细胞定位
细胞质
组织类型
FFPE
修复方式
HIER
稀释比
1:100-1:200
规格
100μl/vial, 1ml/vial
用途
RUO

Reference

1.Gonias SL, et al. Front Biosci. 2001 Nov 1;6:D1403-11.
2.T Makino1, et al.  British Journal of Cancer (2009) 101, 1298–1306.

Support Documents

Contact Us

Address
浙江省杭州市滨江区滨安路688号天和高科技园区5号楼1303室
310052
Phone & Fax
+400-8769-741
+0571-88177680
Web & Mail

Follow Us

Scan QR Codes on Your Phone