产品中心

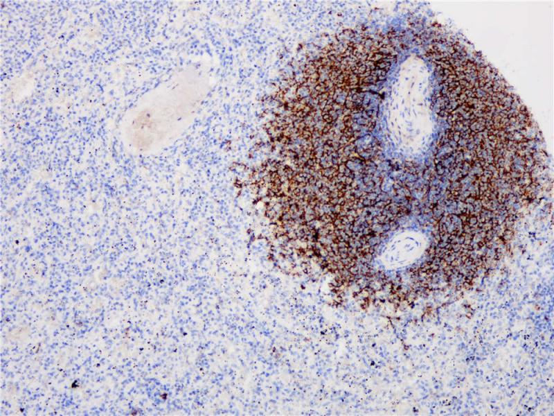
CD21 重组兔单克隆抗体

CD21即补体C3d受体、Epstein Barr病毒受体和补体受体2(CR2),是由人体CR2基因编码的蛋白。CD21是由滤泡树突状细胞(FDC)和成熟B细胞,以及几种类型上皮细胞表达。CD21有助于鉴别正常淋巴结和扁桃体组织中的滤泡树突状细胞基质,也可用于识别血管免疫细胞性T细胞淋巴瘤和滤泡T细胞淋巴瘤中异常卵泡树突状细胞形态。

Specifications

目录号
BX50010
克隆号
BP6015
阳性对照
扁桃体
亚细胞定位
细胞膜
组织类型
FFPE
修复方式
HIER
稀释比
1:100-1:200
规格
100μl/vial, 1ml/vial
用途
RUO

Reference

1.Barel M, et al. Mol Immunol. 1995 Apr;32(6):389-97.
2.Tanner J, et al. J Virol. 1988 Dec;62(12):4452-64.

Support Documents

Contact Us

Address
浙江省杭州市滨江区滨安路688号天和高科技园区5号楼1303室
310052
Phone & Fax
+400-8769-741
+0571-88177680
Web & Mail

Follow Us

Scan QR Codes on Your Phone