产品中心

Cytokeratin 6 重组兔单克隆抗体

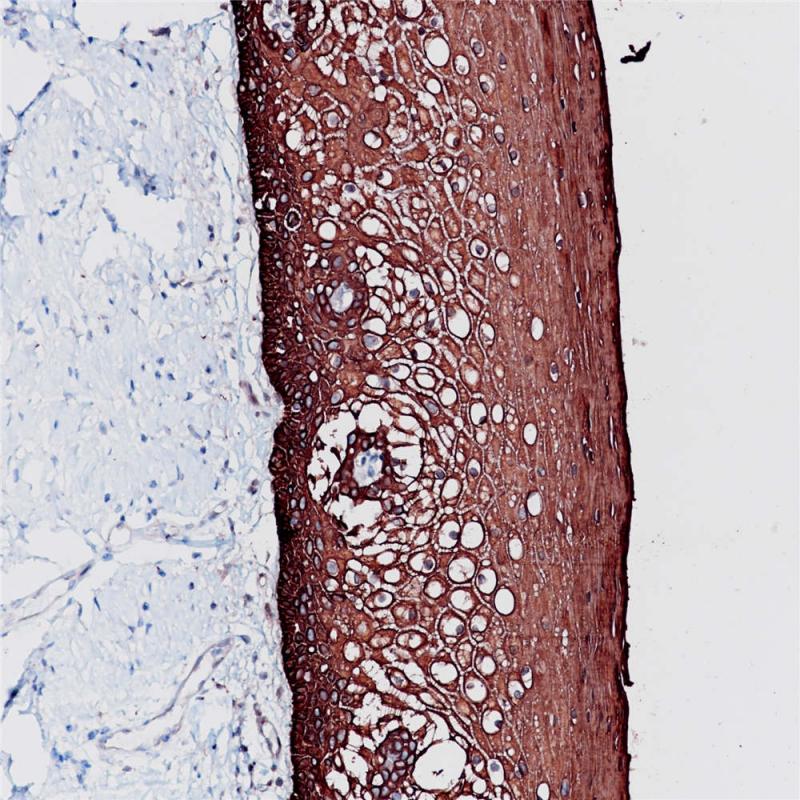
CK6是一种上皮特异性的I型角蛋白,通常与创伤后的角质细胞活化相关,因此也被认为是一类愈合因子,但是其与角质细胞的增殖以及转移无关。这个蛋白总是与I型角蛋白CK16成对出现。CK6通常在尚未角质化的上皮组织的基底层细胞中表达,在毛囊外根鞘中也有明显表达。在肿瘤组织中,CK6在多数的鳞状上皮癌中表达,特别是在鳞癌癌巢的中间成熟细胞层。CK6通常与CK5一起配套用于间皮瘤的鉴别诊断。

Specifications

目录号
BX50060
克隆号
BP6065
阳性对照
食管癌
亚细胞定位
细胞质
组织类型
FFPE
修复方式
HIER
稀释比
1:100-1:200
规格
100μl/vial, 1ml/vial
用途
RUO

Reference

1.R Moll et al. Histochem Cell Biol (2008) 129:705–733.
2.R Moll et al. Cell, Vol. 31, 1 l-24, November 1982.

Support Documents

Contact Us

Address
浙江省杭州市滨江区滨安路688号天和高科技园区5号楼1303室
310052
Phone & Fax
+400-8769-741
+0571-88177680
Web & Mail

Follow Us

Scan QR Codes on Your Phone