产品中心

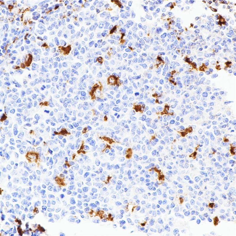
CD68 重组兔单克隆抗体

CD68是一种高度糖基化的跨膜蛋白,是目前常规应用最广泛的巨噬细胞标记物。它在巨噬细胞的吞噬活动,胞内溶酶体的新陈代谢,胞外的细胞与细胞以及细胞与病原体间的相互作用中发挥功能。CD68在不同类型的巨噬细胞中被检测出来,且与骨髓中的骨髓前体细胞发生反应。CD68阳性可见于Kupffer细胞、正常淋巴组织细胞、肥大细胞和小神经胶质细胞。在肿瘤组织中,CD68表达于纤维组织肿瘤,部分上皮肿瘤,以及一些恶性黑色素瘤的上皮细胞。

Specifications

目录号
BX50031
克隆号
BP6036
阳性对照
脾脏
亚细胞定位
细胞膜/细胞质
组织类型
FFPE
修复方式
HIER
稀释比
1:100-1:200
规格
100μl/vial, 1ml/vial
用途
RUO

Reference

1.Kunz-Schughart LA, et.al, Verh Dtsch Ges Pathol. 2003;87:215-23.
2.Sachdev R, et.al, J Cutan Pathol. 2006 May;33(5):353-60.

Support Documents

Contact Us

Address
浙江省杭州市滨江区滨安路688号天和高科技园区5号楼1303室
310052
Phone & Fax
+400-8769-741
+0571-88177680
Web & Mail

Follow Us

Scan QR Codes on Your Phone