产品中心

GCDFP-15 重组兔单克隆抗体

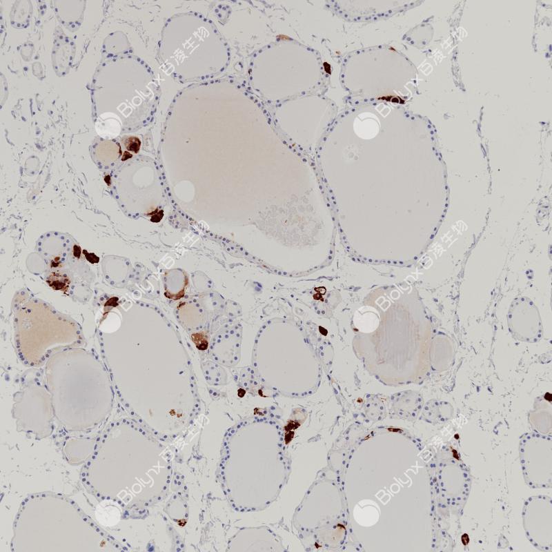
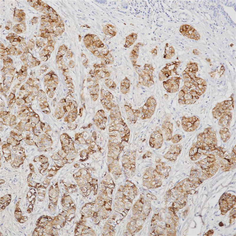
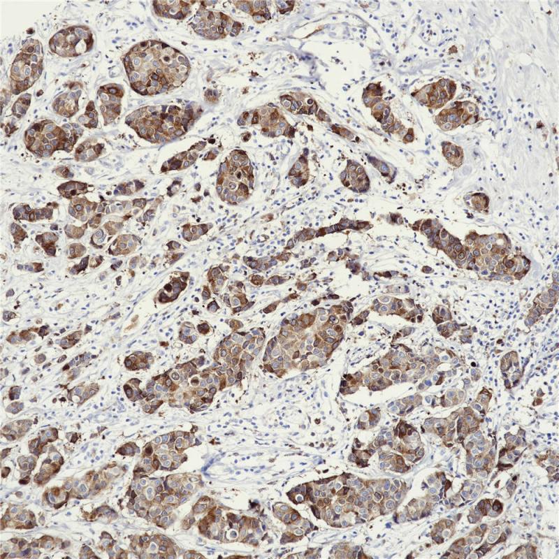
GCDFP-15即gross cystic disease fluid protein 15,是泌乳素诱导蛋白家族中的一员。GCDFP-15抗原可表达于非肿瘤性浆液性涎腺腺体、精囊和乳腺以及乳腺囊肿液等中,可作为乳腺癌标记物。该抗体主要用于乳腺癌的诊断,也常与mammaglobin 联用以判断乳腺癌微小病灶的转移情况。

Specifications

目录号
BX50114
克隆号
BP6118
阳性对照
乳腺癌
亚细胞定位
细胞质
组织类型
FFPE
修复方式
HIER
稀释比
1:100-1:200
规格
100μl/vial, 1ml/vial
用途
RUO

Reference

1.Sapino A, Cassoni P and Bussolati G. Regul. Homeost. Agents. 2000; 14(4):259–262.
2.Haagensen DE Jr, Dilley WG, Mazoujian G et al. Ann. NY Acad. Sci. 1990;586:161–173.

Support Documents

Contact Us

Address
浙江省杭州市滨江区滨安路688号天和高科技园区5号楼1303室
310052
Phone & Fax
+400-8769-741
+0571-88177680
Web & Mail

Follow Us

Scan QR Codes on Your Phone