首页
创新研发
产品中心
病理IHC整体解决方案
IVD一抗
LYNX310设备
LYNX480设备
免疫显色系统及辅助试剂
RUO试剂
液态细胞质控品
科研创新
科研目录抗体
技术服务
服务中心
资料下载
技术支持
关于我们
公司概况
新闻动态
荣誉资质
人才服务
联系我们
简体中文
简体中文
English
产品中心
病理IHC整体解决方案
科研创新
IVD一抗
LYNX310设备
LYNX480设备
免疫显色系统及辅助试剂
RUO试剂
液态细胞质控品
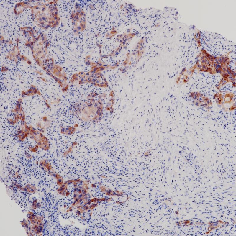
肺癌ROS1(BP6215)染色
附睾ROS1(BP6215)染色
相关产品
FOXP3
BP6166
Somatostatin
BP6200
CD25
BP6120
ROS1
重组兔单克隆抗体
ROS1是胰岛素受体家族的一种孤儿受体酪氨酸激酶,最初被鉴定为UR2肉瘤病毒V-ros的同源物。ROS1由一个大的细胞外结构域组成,该结构域由6个纤维连接蛋白重复序列、一个跨膜结构域和一个细胞内激酶结构域组成。ROS1已被证实在附睾上皮分化中发挥重要作用。ROS1的第一个致瘤融合图-ROS1最初是在胶质母细胞瘤的研究中发现的。
Specifications
目录号
BX50238
克隆号
BP6215
阳性对照
肺癌
亚细胞定位
细胞质
组织类型
FFPE
修复方式
HIER
稀释比
1:100-1:200
规格
100μl/vial, 1ml/vial
用途
RUO
Support Documents
Datesheet
Contact Us
Address
浙江省杭州市滨江区滨安路688号天和高科技园区5号楼1303室
310052
Phone & Fax
+400-8769-741
+0571-88177680
Web & Mail
[email protected]
Follow Us
Scan QR Codes on Your Phone