产品中心

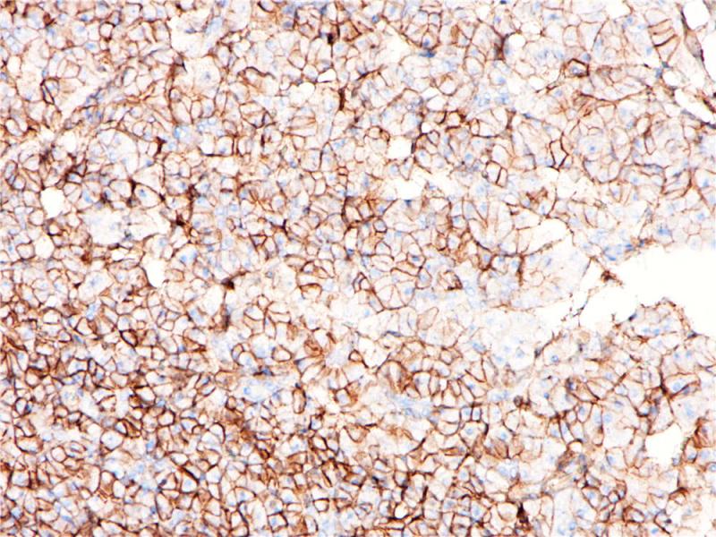
CD99 重组兔单克隆抗体

CD99是一种由CD99基因编码的I型跨膜糖蛋白,它参与了T细胞的募集、胸腺细胞和T淋巴细胞的细胞坏死、前B细胞的发育、淋巴细胞之间的细胞黏附、中性粒细胞的渗出、单核细胞的游走等多种细胞事件。CD99在多种细胞中表达,如造血细胞、内皮细胞、中枢神经系统室管膜细胞、胸腺细胞、卵巢颗粒细胞和胰岛细胞。肿瘤中,CD99几乎表达于所有的Ewing肉瘤和外周型原始神经外胚层肿瘤 (ES/PNET) ,并且表现出强而弥漫的膜性染色。其他肿瘤如神经内分泌癌、间充质软骨肉瘤、血管肿瘤、淋巴细胞淋巴瘤、急性髓系白血病等可能也表达CD99。CD99在Ewing肉瘤和外周型神经外胚层肿瘤中可能是一个敏感标志物,可能有助于小蓝圆细胞瘤的鉴别诊断。

Specifications

目录号
BX50008
克隆号
BP6013
阳性对照
胰腺
亚细胞定位
细胞膜
组织类型
FFPE
修复方式
HIER
稀释比
1:100-1:200
规格
100μl/vial, 1ml/vial
用途
RUO

Reference

1.Gawon Choi, et al. Journal of Pathology and Translational Medicine 2016; 50: 361-368.
2.Ventura S, et al. Oncogene. 2016 Jul 28;35(30):3944-54.

Support Documents

Contact Us

Address
浙江省杭州市滨江区滨安路688号天和高科技园区5号楼1303室
310052
Phone & Fax
+400-8769-741
+0571-88177680
Web & Mail

Follow Us

Scan QR Codes on Your Phone