首页
创新研发
产品中心
病理IHC整体解决方案
IVD一抗
LYNX310设备
LYNX480设备
免疫显色系统及辅助试剂
RUO试剂
液态细胞质控品
科研创新
科研目录抗体
技术服务
服务中心
资料下载
技术支持
关于我们
公司概况
新闻动态
荣誉资质
人才服务
联系我们
简体中文
简体中文
English
产品中心
病理IHC整体解决方案
科研创新
IVD一抗
LYNX310设备
LYNX480设备
免疫显色系统及辅助试剂
RUO试剂
液态细胞质控品
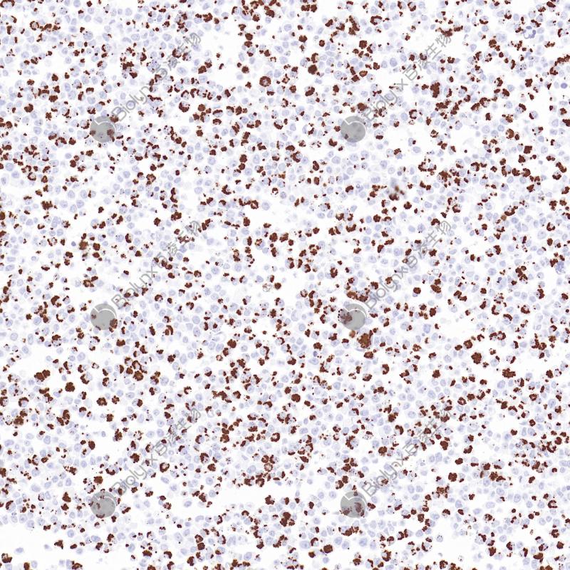
小细胞神经内分泌癌INSM1(BP6240)染色
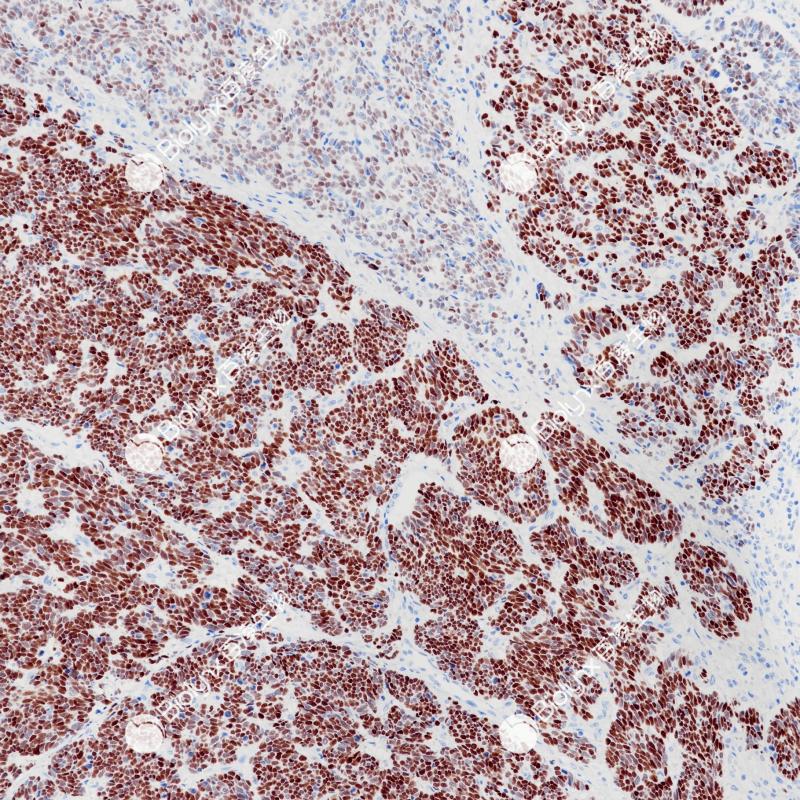
甲状腺髓样癌INSM-1(BP6240)染色
相关产品
MYD88 L265P
BP6242
Myelin Basic Protein
BP6087
GS
BP6304
INSM-1
重组兔单克隆抗体
胰岛素瘤相关蛋白1 (INSM-1),又称锌指蛋白IA-1,是一种发育调节的锌指转录因子。它定位于细胞核,并在经历神经内分泌分化的胚胎组织中表达。它在神经内分泌发育中起重要作用,是胰腺内分泌细胞正常分化所必需的。抑制INSM-1可减少胰高血糖素和胰岛素阳性细胞的形成。INSM-1在正常成人组织中不表达,但在神经内分泌肿瘤中高表达。INSM-1主要用于神经内分泌肿瘤的临床诊断。
Specifications
目录号
BX50263
克隆号
BP6240
阳性对照
甲状腺髓样癌
亚细胞定位
细胞核
组织类型
FFPE
修复方式
HIER
稀释比
1:100-1:200
规格
100μl/vial, 1ml/vial
用途
RUO
Support Documents
Datesheet
Contact Us
Address
浙江省杭州市滨江区滨安路688号天和高科技园区5号楼1303室
310052
Phone & Fax
+400-8769-741
+0571-88177680
Web & Mail
[email protected]
Follow Us
Scan QR Codes on Your Phone