产品中心

Type II Cytokeratins 重组兔单克隆抗体

II型角蛋白是一类中间丝蛋白,具有显著的分子多样性,由I型和II两个分子成对组成在体内表达。 人体内有54种不同的角蛋白基因存在,其表达方式在不同的上皮细胞以及不同的细胞分化阶段过程中各自不同。II型角蛋白包括了CK1, CK2, CK3, CK4, CK5, CK6, CK7 和 CK8,临床通常将所有以上抗体混合成为一个整体II型角蛋白进行检测。

Specifications

目录号
BX50053
克隆号
BP6058
阳性对照
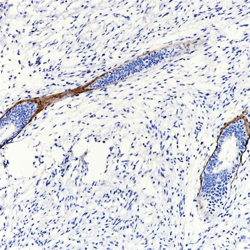
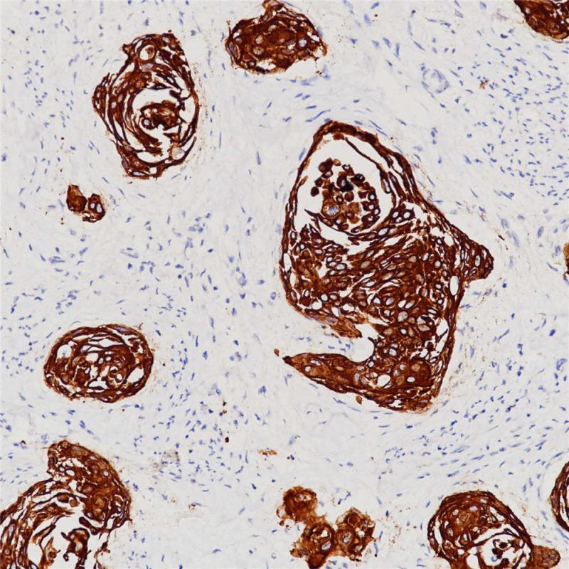
宫颈癌
亚细胞定位
细胞核
组织类型
FFPE
修复方式
HIER
稀释比
1:100-1:200
规格
100μl/vial, 1ml/vial
用途
RUO

Reference

1.Spagnolo DV, et al. Am J Clin Pathol. 1985 Dec;84(6):697-704.
2.Eichner R, et al. J Cell Biol. 1984 Apr;98(4):1388-96.

Support Documents

Contact Us

Address
浙江省杭州市滨江区滨安路688号天和高科技园区5号楼1303室
310052
Phone & Fax
+400-8769-741
+0571-88177680
Web & Mail

Follow Us

Scan QR Codes on Your Phone