产品中心

TTF-1 重组兔单克隆抗体

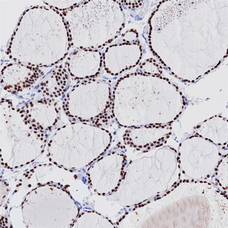
TTF-1(甲状腺转录因子-1,也称为同源框蛋白Nkx-2.1)是一种含有371个氨基酸的蛋白,分子量约39KDa,属于NKX同源框转录因子家族。TTF-1通过结合特定基因的调控序列来刺激或抑制其转录。TTF-1在调节甲状腺,肺和脑中的基因中起作用。它在甲状腺中的分子靶标是甲状腺球蛋白,甲状腺过氧化物酶和促甲状腺激素受体。 TTF-1激活编码这些蛋白质的基因的转录。在肺中,TTF-1促进表面活性蛋白A至D和Clara细胞分泌蛋白的转录。在脑中,TTF-1的分子靶标是未知的。除了作为成体器官中的组织特异性转录启动子外,TTF-1还被认为在形态发生和细胞分化中起作用。在甲状腺肿瘤中,TTF-1几乎可见于所有滤泡来源的肿瘤中。 在诊断病理学中,TTF-1可用作肺腺癌和肺部神经内分泌恶性肿瘤的标志物,包括小细胞肺癌。TTF-1可用于区分原发性肺腺癌和转移癌。

Specifications

目录号
BX50074
克隆号
BP6079
阳性对照
甲状腺
亚细胞定位
细胞核
组织类型
FFPE
修复方式
HIER
稀释比
1:100-1:200
规格
100μl/vial, 1ml/vial
用途
RUO

Reference

1.Agoff SN, Lamps LW, Philip AT, et al.  Mod Pathol 2000,13:238-242.
2.Bingle CD. Int J Biochem Cell Biol 1997;29:1471-1473.

Support Documents

Contact Us

Address
浙江省杭州市滨江区滨安路688号天和高科技园区5号楼1303室
310052
Phone & Fax
+400-8769-741
+0571-88177680
Web & Mail

Follow Us

Scan QR Codes on Your Phone