产品中心

p21 重组兔单克隆抗体

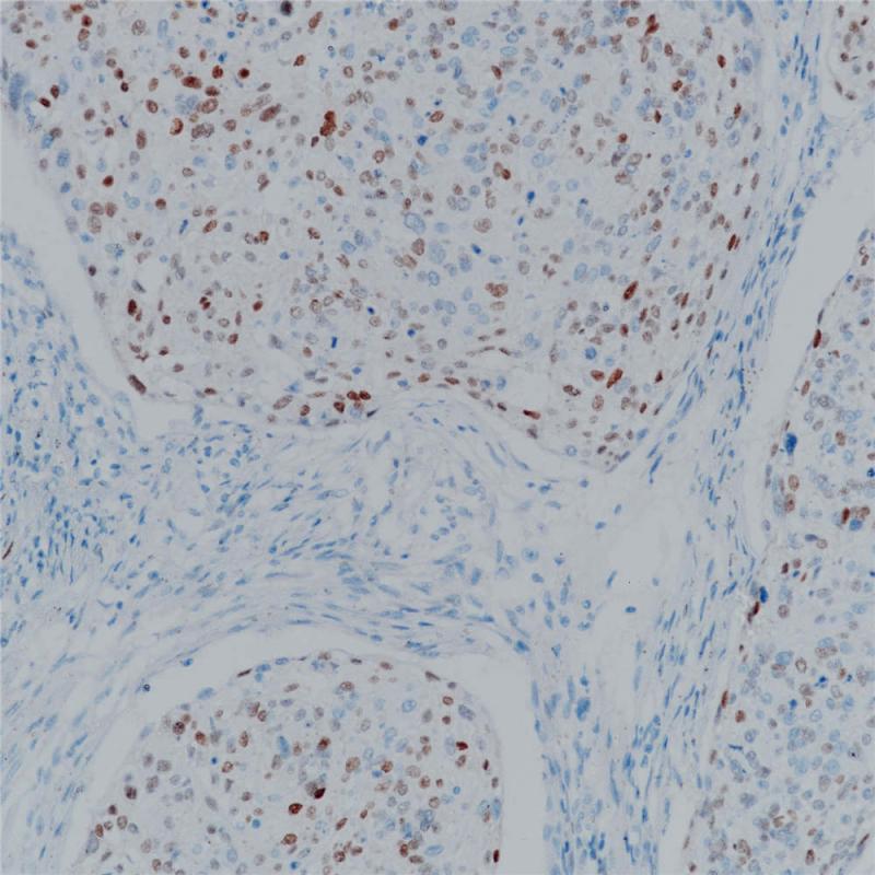
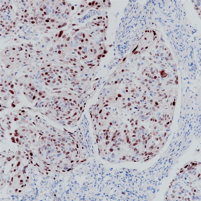
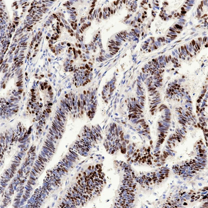
p21是由位于6号染色体(6 p21.2)的CDKN1A基因编码的蛋白,也被称为细胞周期依赖性激酶抑制剂。p21与CDK2/CDK4结合的同时会抑制他们的活性,从而在G1期起调节细胞周期进程的作用。p21在所有成人组织中表达,在肿瘤组织中也有广泛地表达,例如胃癌、非小细胞肺癌、甲状腺癌。p21表达通常与预后良好相关。

Specifications

目录号
BX50063
克隆号
BP6068
阳性对照
宫颈癌
亚细胞定位
细胞核
组织类型
FFPE
修复方式
HIER
稀释比
1:100-1:200
规格
100μl/vial, 1ml/vial
用途
RUO

Reference

1.Komiya T et al. Clin Cancer Res. 1997 Oct;3(10):1831-5.
2.Natsugoe S et al. Clin Cancer Res. 1999 Sep;5(9):2445-9.

Support Documents

Contact Us

Address
浙江省杭州市滨江区滨安路688号天和高科技园区5号楼1303室
310052
Phone & Fax
+400-8769-741
+0571-88177680
Web & Mail

Follow Us

Scan QR Codes on Your Phone