产品中心

ZAP-70 重组兔单克隆抗体

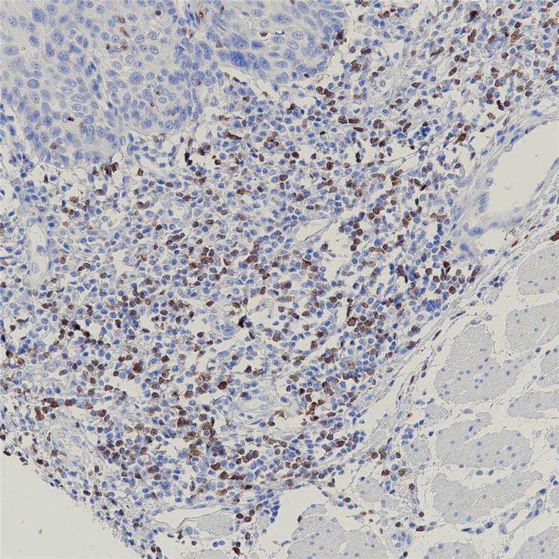
ZAP-70是Syk家族的一种酪氨酸激酶,主要表达于T细胞、NK细胞、肥大细胞和嗜碱性粒细胞。在正常前体B细胞也可以检测到,但是在正常成熟B细胞中不表达。 ZAP-70与慢性淋巴细胞白血病的免疫球蛋白重链可变区基因(IgVH)的非突变结构形成密切相关。该抗体可作为慢性淋巴细胞白血病的一种独立预后指标,对其临床指导治疗具有重要意义。

Specifications

目录号
BX50101
克隆号
BP6106
阳性对照
扁桃体
亚细胞定位
细胞核/细胞质
组织类型
FFPE
修复方式
HIER
稀释比
1:100-1:200
规格
100μl/vial, 1ml/vial
用途
RUO

Reference

1.Crespo, et al.N Engl J Med. 2003 May 1;348(18):1764-75.
2.National Committee for Clinical Laboratory Standards(NCCLS). Villanova, PA 1991;7(9). Order code M29-P.

Support Documents

Contact Us

Address
浙江省杭州市滨江区滨安路688号天和高科技园区5号楼1303室
310052
Phone & Fax
+400-8769-741
+0571-88177680
Web & Mail

Follow Us

Scan QR Codes on Your Phone