

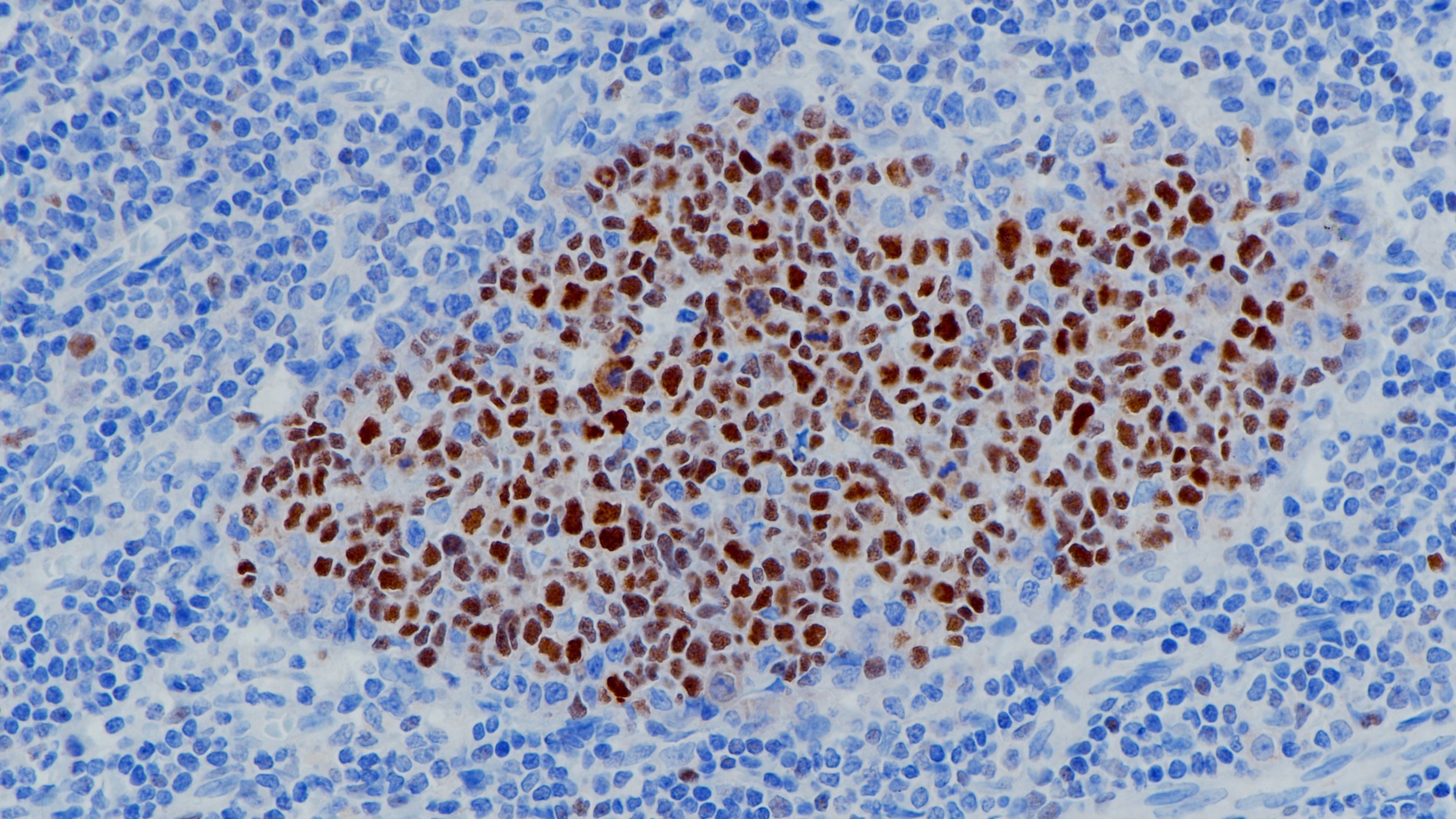
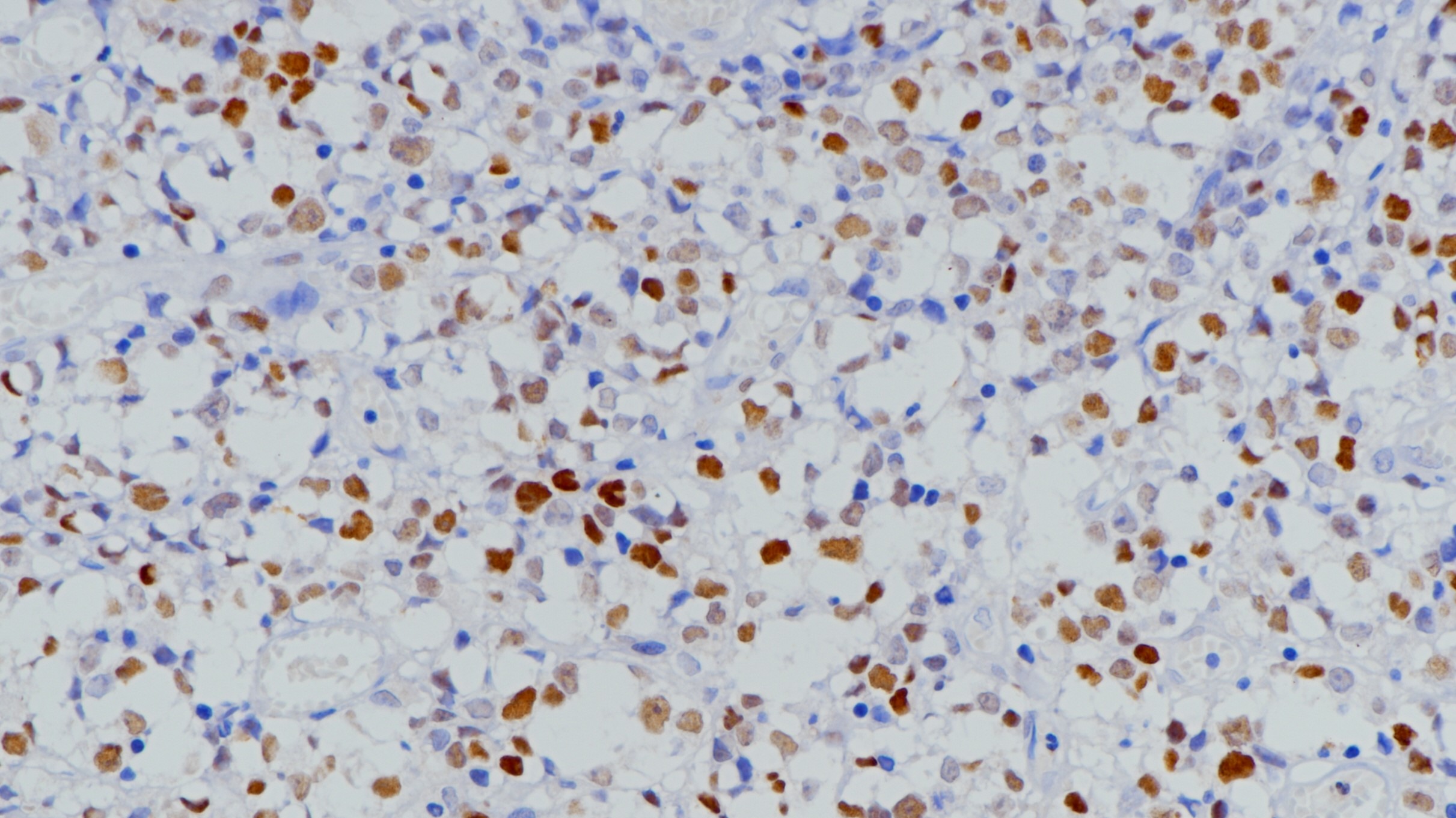
1.Pillai RK, et al. Double-hit B-cell Lymphomas With BCL6 and MYC Translocations Are Aggressive, Frequently Extranodal Lymphomas Distinct From BCL2 Double-hit B-cell Lymphomas[J]. Am J Surg Pathol. 2013 Mar; 37(3):323-32.
2.9.2 Hoefnagel JJ, et al. Bcl-2, Bcl-6 and CD10 expression in cutaneous B-cell lymphoma_ further support for a follicle centre cell origin and differential diagnostic significance[J]. Br J
3.中华医学会.《临床技术操作规范·病理学分册》.人民军医出版社,2004.