产品中心

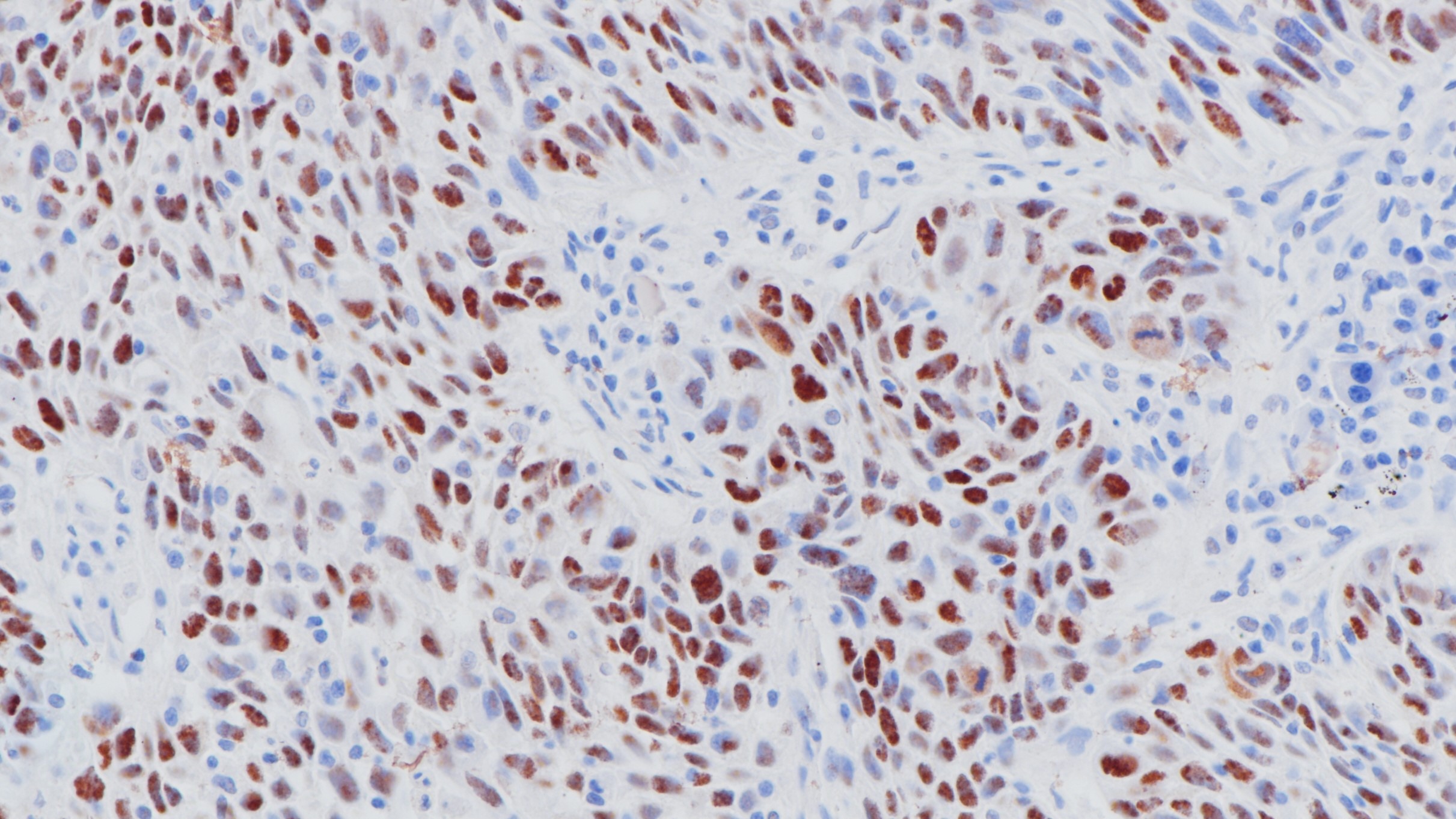
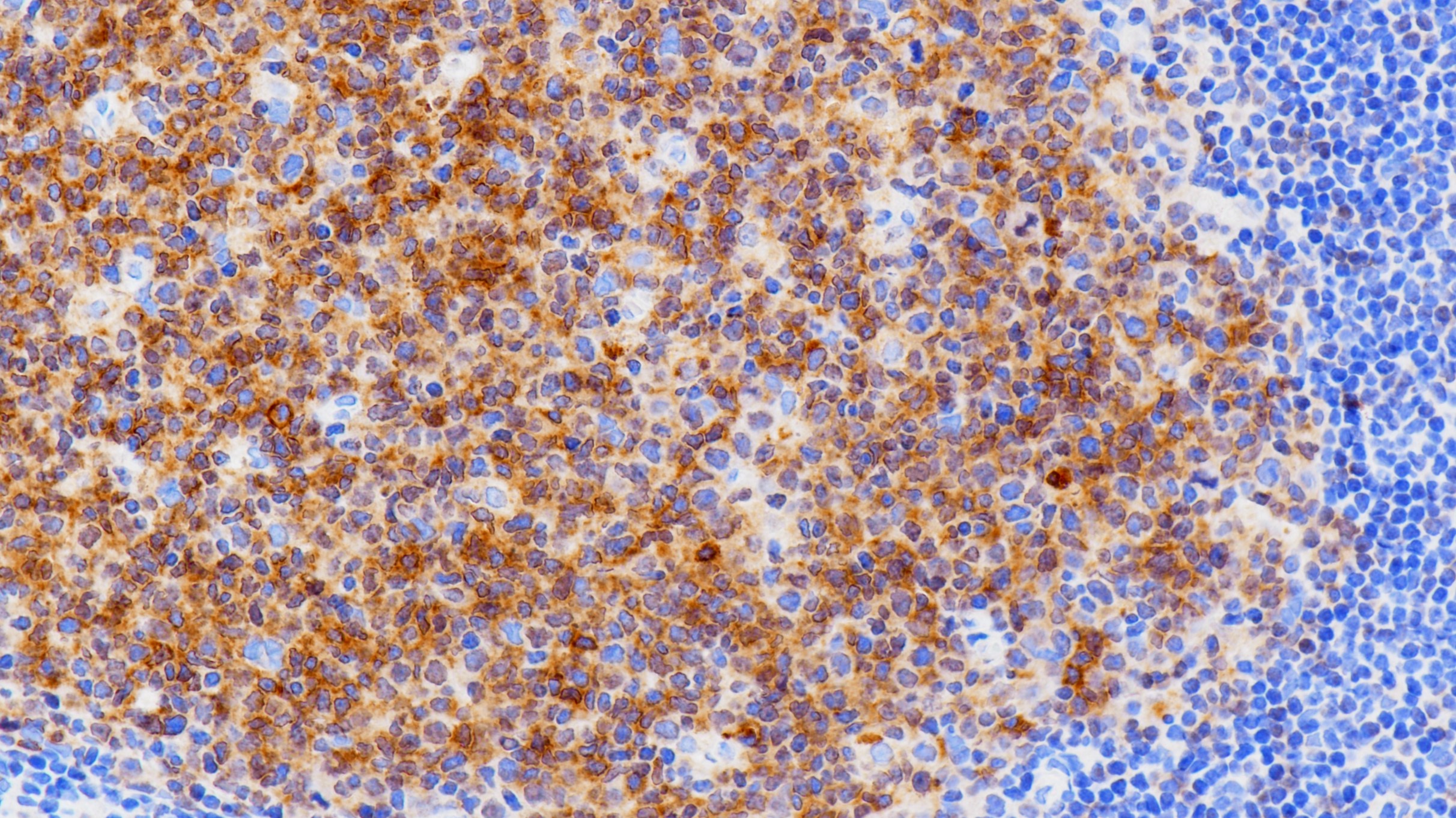
CD10 重组兔单克隆抗体

CD10,又被称为常见急性淋巴细胞白血病抗原(CALLA),在骨髓造血干细胞(包括中性粒细胞),滤泡中心母细胞,少量的成熟B淋巴细胞以及滤泡旁T淋巴细胞中表达。此外, CD10还被发现在肠道刷状缘上层细胞,肝脏胆小管、肾小球及肾小管细胞,肺泡细胞,肌上皮细胞,乳腺、汗腺、唾液腺、前列腺细胞以及少量纤维母细胞中表达。在大部分急性淋巴细胞白血病,滤泡性淋巴瘤,Burkitt's淋巴瘤中都有CD10表达。CD10可以专门被用于B细胞白血病/淋巴瘤以及其他一些肿瘤例如肝细胞癌和肾细胞癌的鉴定分类。

Specifications

产品注册名称
CD10抗体试剂(免疫组织化学)
目录号
I1026
克隆号
BP6059
亚细胞定位
细胞膜
阳性对照
扁桃体
修复方式
HIER
组织类型
FFPE
规格
工作液:1.5mL/7mL
浓缩液:0.1mL/1mL
用途
NMPA IVD
CE

Applicable platform

  • Biolynx平台
  • Leica平台
  • Roche平台
  • Dako平台

Reference

1.Chu P, et al. Am J Clin Pathol 2000 Mar;113(3):374-82.
2.Iwaya K, et al. Virchows Arch 2002 Jun;440(6):589-93.

Support Documents

Contact Us

Address
浙江省杭州市滨江区滨安路688号天和高科技园区5号楼1303室
310052
Phone & Fax
+400-8769-741
+0571-88177680
Web & Mail

Follow Us

Scan QR Codes on Your Phone